Conteúdo copiado com sucesso!

Pneumotórax

Voltar
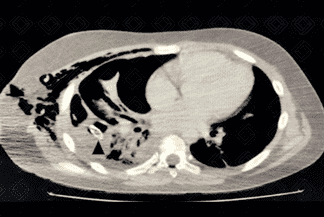
Texto alternativo para a imagem Figura 1. Créditos: Dra. Elazir Mota - Rio de Janeiro/RJ
Texto alternativo para a imagem Figura 2. Créditos: Dra. Elazir Mota - Rio de Janeiro/RJ

Descrição das figuras 1 e 2: Paciente em tratamento hospitalar de pneumonia comunitária complicada com derrame pleural. Apresenta piora clínica e laboratorial, com o padrão radiológico mantido na radiografia de tórax. Optou-se por realizar tomografia do tórax com contraste venoso para avaliar complicações.

Na tomografia, observamos a presença do dreno pleural (figura 1) adjacente à consolidação. Como complicação, observa-se pneumotórax à direita (asterisco - figura 2) e enfisema de partes moles ipsilateral (setas vermelhas - figura 2).

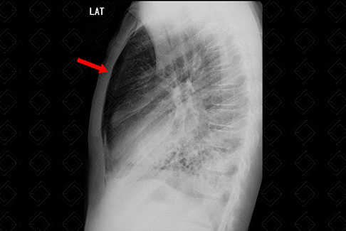
Texto alternativo para a imagem Figura 3. Créditos: Dra. Elazir Mota - Rio de Janeiro/RJ
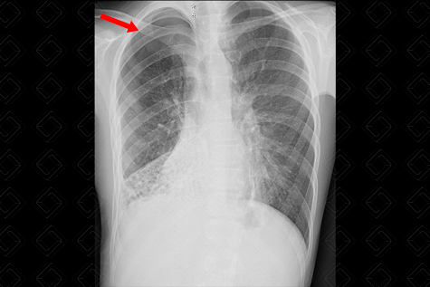
Texto alternativo para a imagem Figura 4. Créditos: Dra. Elazir Mota - Rio de Janeiro/RJ

Descrição das figuras 3 e 4: Paciente portador da síndrome de Kartagener ( situs inversus e com bronquiectasias na base direita). Radiografia de tórax evidenciando hipertransparência no ápice do pulmão direito associado a não visualização da trama vascular, compatível com pneumotórax. No estudo em perfil, fica bem evidente o pneumotórax (seta vermelha).

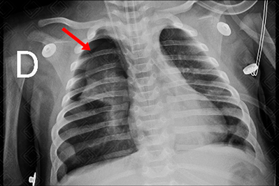
Texto alternativo para a imagem Figura 5. Créditos: Dra. Elazir Mota - Rio de Janeiro/ RJ


Descrição da figura 5: Radiografia de tórax AP no leito. Lactente, com 3 meses de vida, apresentando pneumotórax direito com atelectasia do lobo superior em correspondência (seta vermelha).

Pneumotórax é um termo semiológico que já representa a alteração patológica, indicando a presença de ar na cavidade pleural. O estudo em expiração, pode ajudar a identificar o pneumotórax de pequeno volume.

Quadro clínico : Pacientes podem ser assintomáticos (principalmente se o pneumotórax for primário), dor torácica, dispneia, desconforto respiratório e palpitação.

    Exames de imagem:
  • Radiografia de tórax: C lássico achado da linha de pleura visceral separada da pleura parietal (parede torácica) muitas vezes pode não ser identificado claramente na radiografia. Pode-se ainda identificar o sinal do sulco profundo (aumento da transparência do quadrante abdominal superior e aprofundamento do sulco costofrênico). Exames em expiração podem auxiliar no diagnóstico, porém no paciente vítima de politraumatismo sua realização é difícil. Nos casos de grandes pneumotórax é possível ver atelectasia passiva de um lobo ou de todo pulmão;
  • Ultrassonografia de tórax: A o modo M da ultrassonografia, a área no local do pneumotórax demonstra múltiplas bandas horizontais de artefatos hiperecoicos causados pela ausência de movimentação pulmonar. Esta aparência mimetiza um código de barras ( “sinal do código de barras” ) ou mesmo a camada da estratosfera da atmosfera terrestre ( “sinal da estratosfera” );
  • Tomografia computadorizada do tórax: M ais sensível para detecção dos pneumotórax quando comparado às radiografias, as quais além de não detectarem um grande número de casos de pneumotórax, frequentemente subestimam aqueles identificados.

Diagnóstico diferencial: N ão existem diagnósticos diferenciais. As causas de pneumotórax no entanto, são inúmeras.

Autoria principal: Elazir Mota (Radiologia, especialista em Radiologia Pediátrica).

Hochhegger B, Marchiori E, Rodrigues R, et al. Consensus statement on thoracic radiology terminology in Portuguese used in Brazil and in Portugal. J Bras Pneumol. 2021; 47(5):e20200595.

Kong A. The Deep Sulcus Sign. Radiology. 2003; 228:415-416.

Whitten CR, et al. A Diagnostic Approach to Mediastinal Abnormalities. Radiographics. 2007; 27:657-671.

Hansell DM, Bankier AA, MacMahon H, et al. Fleischner Society: Glossary of Terms for Thoracic Imaging. Radiology. 2008; 246(3):697-722.

Luh SP. Review: Diagnosis and treatment of primary spontaneous pneumothorax. J Zhejiang Univ Sci B. 2010; 11(10):735-44.