Conteúdo copiado com sucesso!

Projétil de Arma de Fogo (PAF)

Voltar
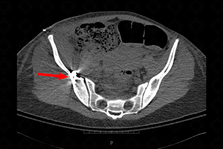
Texto alternativo para a imagem Figura 1. Créditos: Athena Hub/Medical Harbour
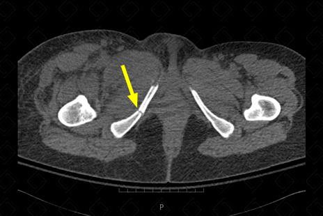
Texto alternativo para a imagem Figura 2. Créditos: Athena Hub/Medical Harbour

Descrição das figuras 1 e 2: Presença de artefato metálico no ramo ilíaco à direita, compatível com PAF (seta vermelha). Observamos no ramo isquiopubiano, deste lado, traço de fratura associado (seta amarela).

Projétil de arma de fogo (PAF): Após acidente com arma de fogo, usualmente é necessário exame de imagem para adequada avaliação do local em busca de hematomas, sangramentos ativos, laceração de órgãos e fraturas, dentre outros. [cms-watermark]

Na lesão tissular, os detalhes mais significativos são a velocidade e peso do projétil. Outro dados importantes dizem respeito à matéria prima utilizada na confecção do projétil e a distância entre a arma e a vítima.

    Exames de imagem:
  • Radiografia: Inicialmente, devemos solicitar radiografias em, pelo menos, duas incidências para adequada avaliação do trajeto da bala e detectar a possível existência de lesão de órgãos ou outras complicações;
  • Tomografia computadorizada: Exame de extrema utilidade para avaliação de lesões em órgão-alvo (fígado, baço, etc.), avaliação de complicações potencialmente graves, como hematoma, laceração de órgãos, sangramento ativo com injúrias vasculares e fratura. Deste modo, é essencial realizar o exame após a administração do contraste venoso e estudo trifásico (fases arterial, portal e tardia) ( figuras acima).

Autoria principal: Elazir Mota (Radiologia, especialista em Radiologia Pediátrica).

Gunshot Injuries: What Does a Radiologist Need to Know? Anthony J. Wilson RadioGraphics. 1999; 19(5):1358-1368.

Hollerman JJ, Fackler ML, Coldwell DM, Ben-Menachem Y. Gunshot wounds. I. Bullets, ballistics, and mechanisms of injury. AJR. 1990; 155:685-690.

Stern EJ. Trauma radiology companion Philadelphia, Pa: Lippincott-Raven, 1997.

Glezer JA, Minar G, Croce MA, Fabian TC, Kudsk KA. Shotgun wounds to the abdomen. Am Surg. 1993; 59:129-132.