Conteúdo copiado com sucesso!

Proteinose Alveolar

Voltar
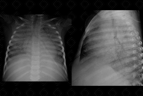
Texto alternativo para a imagem Figura 1. Créditos: Dra. Elazir Mota - Rio de Janeiro/RJ

Descrição da figura 1: Radiografia de tórax, paciente sexo masculino, 3 anos, evidenciando extensas opacidades reticulares dispersas pelo parênquima pulmonar.

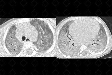
Texto alternativo para a imagem Figura 2. Créditos: Dra. Elazir Mota - Rio de Janeiro/RJ

Descrição da figura 2: Estudo do mesmo paciente foi complementado com Tomografia computadorizada do tórax, evidenciando extensas opacidades em vidro fosco associado a espessamento liso dos septos interlobulares. O diagnóstico foi confirmado por exame citopatológico do lavado broncoalveolar.

A proteinose alveolar é uma doença pulmonar rara, de etiologia desconhecida, caracterizada pelo preenchimento alveolar por material proteináceo que se cora pelo ácido periódico de Schiff (PAS). Existem duas formas da doença: a primária ou idiopática, que ocorre na ausência de causas ou exposições identificáveis, e a forma secundária.

Achados clínicos: A doença predomina na quarta e na quinta décadas de vida, sendo mais comum no sexo masculino. Muitas vezes é difícil a diferenciação entre a forma idiopática e secundária da doença. Uma cuidadosa história ocupacional é essencial para que, a partir da suspeição de proteinose alveolar secundária, se faça a pesquisa no lavado broncoalveolar (LBA) das várias substâncias relacionadas a essa condição.

Achados histológicos: O achado principal é a presença de um material proteináceo intra-alveolar que se cora pelo PAS, podendo também haver a presença de septos interlobulares espessados.

    Achados de imagem:
  • Radiografia de tórax: Presença de consolidações parenquimatosas difusas e bilaterais ou opacidades mal definidas bilaterais (devendo representar as opacidades em vidro fosco melhor caracterizadas na TC) (figura 1);
  • Tomografia computadorizada do tórax: Na TC, os achados mais comuns incluem opacidades em vidro fosco com distribuição geográfica e espessamento liso dos septos interlobulares que, associados, resultam no padrão de pavimentação em mosaico (figura 2).

Diagnóstico diferencial: É feito com doenças que apresentam o padrão de pavimentação em mosaico, como: edema pulmonar, carcinoma bronquioloalveolar, dano alveolar difuso, pneumocistose e doença de Nieman Pick, entre outras.

Autoria principal: Elazir Mota (Radiologia, especialista em Radiologia Pediátrica).

Frazier AA, Franks TJ, Cooke EO, et al. From the archives of the AFIP: pulmonary alveolar proteinosis. Radiographics. 2008; 28(3):883-99.

KatzensteinALA. Katzenstein and Askin’s surgical pathology of non-neoplastic lung disease. 4th ed. Philadelphia, PA: Saunders Elsevier, 2006.

IoachimescuOC, Kavuru MS. Pulmonary alveolar proteinosis. Chron Respir Dis. 2006; 3:149-159.

Lin FC, Chang GD, Chern MS, et al. Clinical significance of anti-GM-CSF antibodies in idiopathic pulmonary alveolar proteinosis. Thorax. 2006; 61:528-534.