Conteúdo copiado com sucesso!

Pseudocisto Liquórico (Infantil)

Voltar
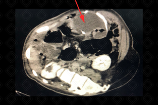
Texto alternativo para a imagem
Texto alternativo para a imagem Créditos: Dra. Elazir Mota - Rio de Janeiro/RJ

Descrição das figuras: P aciente de 9 anos, com disrafismo espinhal e mielomeningocele, com cateter de derivação ventriculoperitoneal, evoluindo com sinais de disfunção do shunt. Foi submetido à tomografia de abdome que evidenciou formação cística no mesogastro (setas vermelhas), envolvendo a extremidade distal do cateter de DVP, compatível com pseudocisto liquórico.

Pseudocisto liquórico: O líquido cefalorraquidiano intra-abdominal é uma consequência esperada de drenagem de derivação ventriculoperitoneal e está usualmente distribuído por toda cavidade intra-abdominal. Coleções loculadas (denominadas pseudocistos liquóricos) resultam quando aderências se desenvolvem ao redor do cateter de derivação e essas aderências limitam a distribuição do líquido cefalorraquidiano na cavidade peritoneal, interferindo na sua absorção.

Quadro clínico: E m geral, pacientes cursam com sinais e sintomas de aumento da pressão intracraniana por um prejuízo na drenagem do líquor: cefaleia, vômitos e outros. Além disso, boa parte dos pacientes se queixa de dor abdominal.

    Exames de imagem: O s exames de imagem indicados diante desta suspeita clínica são a tomografia computadorizada ou ultrassonografia do abdome.
  • Ultrassonografia do abdome: N a população pediátrica sempre optamos por iniciar a avaliação de disfunção de cateter com ultrassonografia de abdome, por ser livre de radiação ionizante. O cateter de derivação costuma ser notado na ou adjacente à coleção fluida, aparecendo como estrutura linear ecogênica.
  • Tomografia computadorizada do abdome: O bserva-se uma formação cística em geral, com grumos de debris e por vezes septos, envolvendo a extremidade do cateter. Essa lesão pode estar livre na cavidade peritoneal ou aderida a alguma intestinal, podendo causar um quadro de suboclusão intestinal (figuras acima).

Diagnósticos diferenciais: O s principais são as lesões císticas intra-abdominais, como: linfangioma, cisto de duplicação, lesões císticas ovarianas, abscessos e outros.

Autoria principal: Elazir Mota (Radiologia, especialista em Radiologia Pediátrica).

Birbilis T, Kontogianidis K, Matis G et-al. Intraperitoneal cerebrospinal fluid pseudocyst. A rare complication of ventriculoperitoneal shunt. Chirurgia (Bucur). 2008;103 (3): 351-3

Pernas JC, Catala J. Pseudocyst around ventriculoperitoneal shunt. Radiology. 2004;232(1):239-43.

Oh A, Wildbrett P, Golub R, et al. Laparoscopic repositioning of a ventriculo-peritoneal catheter tip for a sterile abdominal cerebrospinal fluid (CSF) pseudocyst. Surg Endosc. 2001;15:518.

Hahn YS, Engelhard M, McLone DG. Abdominal CSF pseudocyst: clinical features and surgical management. Pediatr Neurosci. 1985-86;12:75-79.