Conteúdo copiado com sucesso!

Pulmão Hipertransparente Unilateral

Voltar
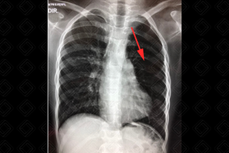
Texto alternativo para a imagem Figura 1. Créditos: Dra. Elazir Mota - Rio de Janeiro/RJ

Descrição da figura 1: Trata-se de um caso de hipertransparência pulmonar unilateral na radiografia de tórax. Observe que a transparência pulmonar esquerda é maior que a direita (ou seja, o pulmão esquerdo encontra-se mais “preto” que o contralateral) – seta vermelha. Foram afastadas as outras possibilidades diagnósticas e confirmada a síndrome de Poland.

Texto alternativo para a imagem Figura 2. Créditos: Dra. Elazir Mota - Rio de Janeiro/RJ

Descrição da figura 2: Paciente neonato, 2 dias de vida, com hipertransparência e aumento de volume no hemitórax esquerdo (seta vermelha), causando desvio do mediastino contralateralmente. Foi realizada tomografia computadorizada do tórax que confirma enfisema lobar congênito.

Texto alternativo para a imagem Figura 3. Créditos: Dra. Elazir Mota - Rio de Janeiro/RJ

Descrição da figura 3: Hipertransparência no pulmão esquerdo com discreto desvio do mediastino contralateralmente. Há pequena mucocele no hilo pulmonar esquerdo (seta verde), compatível com atresia brônquica.

Pulmão hipertransparente unilateral: Na maioria dos casos, o primeiro exame no qual essa alteração é observada é na radiografia de tórax. A maior dificuldade na radiografia de tórax é conseguir definir se a alteração é extra ou intrapulmonar.

    Principais causas de pulmão hipertransparente:
  • Causas extrapulmonares: Fatores técnicos, anomalias/alterações da parede torácica: mastectomia, síndrome de Poland (figura 1) , escoliose grave/acentuada; alterações pleurais: pneumotórax;
  • Causas pulmonares: Congênitas: enfisema lobar congênito ou hiperinsuflação pulmonar congênita (figura 2), atresia brônquica (figura 3), malformação pulmonar congênita (MAC); adquiridas: síndrome de Swyer James, causas de obstrução brônquica parcial do brônquio (aspiração de corpo estranho, plug mucoso, tumor endobrônquico), tromboembolismo pulmonar maciço, pneumectomia;
  • Na população em geral, a principal causa de pulmão hipertransparente unilateral são as obstruções brônquicas parciais. Na população pediátrica, sua principal causa é a aspiração do corpo estranho e, nos adultos, tumor endobrônquico.

Autoria principal: Elazir Mota (Radiologia, especialista em Radiologia Pediátrica).

Marchiori E, Hochhegger B, Zanetti G. Pulmão hipertransparente unilateral. J. bras. pneumol. 2018; 44(3):182.

Marchiori E, Hochhegger B, Zanetti G. Opaque hemithorax. J Bras Pneumol 2017; 43(3):161-161.

Barbosa AJ, Zanetti GR, Marchiori E. Bronchial foreign body in children. The importance of correct diagnosis. Radiol Bras. 2016; 49(5):340-342.

MacLeod WM. Abnormal transradiancy of one lung. Thorax. 1954; 9:147- 53.