Conteúdo copiado com sucesso!

Rânula

Voltar
Texto alternativo para a imagem Figura 1. Créditos: Dra. Elazir Mota - Rio de Janeiro/RJ
Texto alternativo para a imagem Figura 2. Créditos: Dra. Elazir Mota - Rio de Janeiro/RJ

Descrição das figuras 1 e 2: Ultrassonografia cervical evidenciando lesão cística, predominantemente hipoecoica, no espaço sublingual esquerdo, herniando através de uma falha no músculo milo-hiodeo (setas vermelhas), compatível com rânula simples.

Texto alternativo para a imagem Figura 3. Créditos: Dra. Elazir Mota - Rio de Janeiro/RJ
Texto alternativo para a imagem Figura 4. Créditos: Dra. Elazir Mota - Rio de Janeiro/RJ
Texto alternativo para a imagem Figura 5. Créditos: Dra. Elazir Mota - Rio de Janeiro/RJ

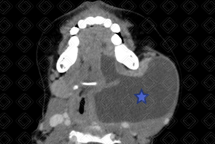
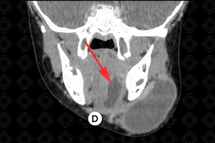
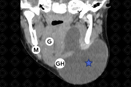
Descrição das figuras 3, 4 e 5: Tomografia computadorizada do pescoço após administração do contraste venoso, evidenciando rânula mergulhante. Observe a formação cística (asteriscos) no espaço sublingual (seta vermelha) esquerdo, estendo para região submentoniana e submandibular deste lado devido à falha na musculatura milo-hioidea. Legenda: GH = gênio-hioideo; G = genioglosso; M = milo-hioideo; D = digástrico.

Rânula: Trata-se de um cisto de retenção mucoso que cresce devido à obstrução de ducto sublingual ou ducto salivar menor, por isso também chamado de mucocele sublingual, e ocorre no assoalho da cavidade oral.

As principais causas para obstrução dos ductos salivares e surgimento da rânula são: estenose do ducto pós-inflamatória, trauma e cálculo.

    Existem dois tipos de rânula (ou seja, elas podem ocorrer de duas formas):
  • S imples: A forma simples restringe-se ao espaço sublingual, na maioria dos casos sem sintomas dolorosos pela criança. Devido à ausência de sintomatologia, usualmente, é observado acidentalmente pelos pais como uma massa azulada, no interior da cavidade oral, determinando elevação do assoalho da mucosa bucal no lado acometido;
  • Mergulhante : A rânula profunda ou mergulhante acomete o espaço sublingual com extensão para o músculo milo-hioide. Ao exame físico, apresenta-se como uma "massa" na região submandibular ou submentoniana, podendo ou não exibir abaulamento do assoalho bucal associado.

Quadro clínico: E m geral, acomete o assoalho bucal onde se nota um abaulamento abaixo da língua, na maioria dos casos não doloroso.

    Exames de imagem: O exame de escolha na suspeita de rânula ou qualquer lesão cervical na população pediátrica será a ultrassonografia .
  • Ultrassonografia cervical: Imagem anecoica/hipoecoica, de paredes finas, bem definida, acima do músculo milo-hioide, no assoalho da boca. A lesão pode apresentar grumos de debris no seu interior e aumento da ecogenicidade do tecido subcutâneo adjacente, quando infectado (figura 1);
  • Ressonância magnética do pescoço: Na ressonância, a rânula segue o padrão das lesões císticas, com baixo sinal na sequência ponderada em T1, alto sinal em T2. Caso infectada ou com sangramento (complicações possíveis da rânula), pode apresentar alto sinal em T1;
  • Tomografia computadorizada do pescoço: Apresenta-se como cisto, bem definido e bem delimitado, homogêneo, com baixa atenuação central, com paredes finas e bem identificadas, que podem realçar pelo meio de contraste (figura 2).

Diagnósticos diferenciais: C isto epidermoide e dermoide , cisto do ducto tireoglosso , higroma cístico e linfadenopatia.

Autoria principal: Elazir Mota (Radiologia, especialista em Radiologia Pediátrica).

La'porte SJ, Juttla JK, Lingam RK. Imaging the Floor of the Mouth and the Sublingual Space. Radiographics. 2011; 31(5):1215-30.

Meesa IR, Srinivasan A. Imaging of the oral cavity. Radiol Clin North Am. 2015; 53(1):99-114.

Kurabayashi T, Nakamura S, Ogura I, et al. The sublingual and submandibular spaces. Oral Radiol. 2003; 19(2):28-34.

Kurabayashi T, Ida M, Yasumoto M, et al. MRI of ranulas. Neuroradiology. 2000; 42(12):917–922.

Cavalcante AS, Rosa LE, Costa NC, et al. Congenital ranula: a case report. J Dent Child (Chic). 2009; 76(1):78–81.