Conteúdo copiado com sucesso!

Ressonância Magnética do Glioblastoma

Voltar
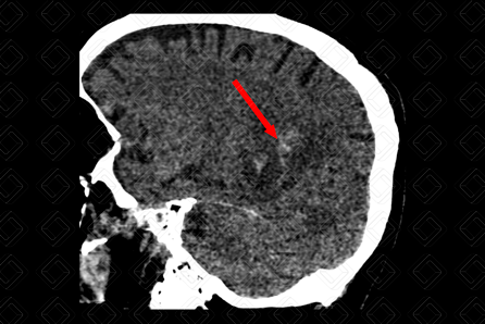
Texto alternativo para a imagem Figura 1. Créditos: Dra. Elazir Mota - Rio de Janeiro/RJ
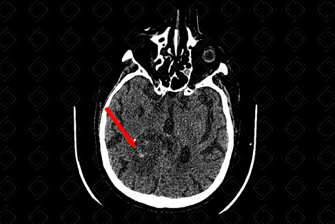
Texto alternativo para a imagem Figura 2. Créditos: Dra. Elazir Mota - Rio de Janeiro/RJ

Descrição das figuras 1 e 2: Tomografia computadorizada do crânio, estudo sem contraste (paciente com injúria renal aguda), planos axial e sagital, evidenciando lesão infiltrativa, de limites mal definidos, heterogênea, com áreas de sangramento, na substância branca profunda do lobo parietal direito (setas vermelhas). O histopatológico revelou que trata-se de glioblastoma.

Glioblastoma: É o tumor encefálico mais comum do SNC, sendo maligno, de origem astrocítica e classificado como grau IV pela OMS. Corresponde a 15% de todas as neoplasias intracranianas e a 60% dos astrocitomas. [cms-watermark]

Epidemiologia: Há discreto predomínio pelo sexo masculino, acometendo, preferencialmente, o adulto, com pico de incidência entre 45-70 anos, com baixa sobrevida.

Quadro clínico: Pacientes apresentam queixas clínicas variáveis, a depender da sua localização. Os sinais e sintomas mais comuns são convulsão, déficit neurológico focal, cefaleia, vômitos e, até mesmo, mudanças de comportamento.

    Achados de imagem:
  • Tomografia computadorizada do crânio com contraste venoso: Tumor mais frequentemente na região supratentorial, com preferência pelos lobos frontal e parietal, infiltrando a substância branca. Trata-se de lesão expansiva, em geral, volumosa no momento do diagnóstico, hipodensa ou isodensa, de limites mal definidos e necrose central. Em 95% dos casos, apresentam ávida captação pelo contraste venoso (realce pode ser heterogêneo, irregular ou anelar) (f iguras acima);
  • Ressonância magnética do crânio com contraste venoso: A RM caracteriza melhor a extensão do tumor. O sinal nas sequências T1, T2 e FLAIR é variável, heterogêneo, pela intensa necrose, cistos, sangramento e neovascularização. No T2* existem artefatos de suscetibilidade magnética devido a produtos de degradação da hemoglobina. Após o contraste, há intenso realce, como na TC. Seu componente sólido, livre de necrose, apresenta restrição a difusão, com baixos valores no mapa ADC. Há aumento da permeabilidade, nas sequências avançadas, pela neovascularização tumoral e quebra da barreira hematoencefálica.

Diagnósticos diferenciais: Os principais são abscessos cerebrais, linfoma primário, metástase única, placa desmienilizante tumefativa e acidente vascular isquêmico subagudo.

Autoria principal: Elazir Mota (Radiologia, especialista em Radiologia Pediátrica).

Brain Lesion Locator: Differential Diagnosis by Location by James Smirniotopoulos.

Diagnostic Neuroradiology by Anne G. Osborn Mosby, 1994.

Bakas S, Zeng K, Sotiras A, et al. GLISTRboost: Combining Multimodal MRI Segmentation, Registration, and Biophysical Tumor Growth Modeling with Gradient Boosting Machines for Glioma Segmentation. In: Crimi A, Menze B, Maier O, et al. editors. Brainlesion: Glioma, Multiple Sclerosis, Stroke and Traumatic Brain Injuries. Lecture Notes in Computer Science. 2016; 9556:144-55.

Bagri PK, Kapoor A, Singh D, et al. Addition of magnetic resonance imaging to computed tomography-based three-dimensional conformal radiotherapy planning for postoperative treatment of astrocytomas: Changes in tumor volume and isocenter shift. South Asian J Cancer. 2015; 4:18-20.

Guo L, Wang G, Feng Y, et al. Diffusion and perfusion weighted magnetic resonance imaging for tumor volume definition in radiotherapy of brain tumors. Radiat Oncol. 2016; 11:123.