Conteúdo copiado com sucesso!

Rins em Ferradura (Infantil)

Voltar
Texto alternativo para a imagem

Descrição da imagem: Ilustração esquemática dos rins em ferradura. Na maioria dos casos, como pode-se observar, há fusão dos polos inferiores dos rins, na linha média, anteriormente à veia cava e aorta.

Texto alternativo para a imagem
Texto alternativo para a imagem
Texto alternativo para a imagem
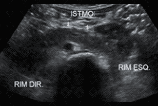
Texto alternativo para a imagem Figuras 1, 2, 3 e 4. Créditos: Dra. Elazir Mota - Rio de Janeiro/RJ

Descrição das figuras 1, 2, 3 e 4: Ultrassonografia das vias urinárias evidenciando rins em ferradura. Observe que o rim esquerdo é menor e apresenta alteração rotacional. Ao avaliar a linha média, anteriormente à aorta, observa-se a fusão dos polos renais inferiores.

Rins em ferradura: Trata-se da principal anomalia de fusão renal. A maioria dos pacientes são assintomáticos, sendo na maioria das vezes um achado de imagem. Caracteriza-se pela fusão de um dos pólos renais na linha média. A fusão dos polos renais inferiores é mais comum (cerca de 90% dos casos).

Quadro clínico: Assintomático, sendo usualmente descobertos acidentalmente.

    Exames de imagem:
  • Ultrassonografia das vias urinárias: N ota-se fusão dos pólos inferiores dos rins na linha média, anteriormente à aorta (como nas imagens radiológicas). Sempre avaliar bexiga e sistema coletor, buscando por sinais de dilatação, já que nestes casos é comum a dificuldade de drenagem nas pelves renais;
  • Tomografia computadorizada e ressonância magnética do abdome superior e pelve: N ão devem ser usados de rotina para os rins em ferradura. Evidenciam a fusão dos pólos inferiores, com concentração e excreção normais do meio de contraste.

Diagnósticos diferenciais: O utras anomalias de rotação e fusão dos rins, rim ectópico e ectopia renal cruzada.

Autoria principal: Elazir Mota (Radiologia, especialista em Radiologia Pediátrica).

Goodyer PR. Renal dysplasia/hypoplasia. In: Avner ED, Harmon WE, Niaudet P. Pediatric nephrology. 6th ed. Philadelphia: Lippincott Williams & Wilkins, 2013. 112-113.

    Elder JS. Congenital anomalies and dysgenesis of the kidneys. In: Kliegman R, Nelson WE. Nelson textbook of pediatrics. 19th ed. Philadelphia: Elsevier Saunders, 2011. 1827-1829.

Ichikawa T, Tanno K, Okochi T et al. Evaluation of Renal Artery Anomalies Associated with Horseshoe Kidney Using CT Angiography. Tokai J Exp Clin Med. 2015; 40(1):16-21.

Barakat AJ, Rushton HG. Congenital Anomalies of the Kidney and Urinary Tract. New York: Springer, 2016.