Conteúdo copiado com sucesso!

Síndrome de Joubert

Voltar
Texto alternativo para a imagem
Texto alternativo para a imagem Créditos: Dra. Elazir Mota - Rio de Janeiro/RJ

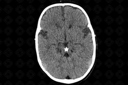
Descrição da lesão: Imagem de tomografia computadorizada do crânio evidenciando a presença de pedúnculos cerebelares superiores espessados e hipoplasia do vérmis, o que leva ao clássico sinal do "dente molar" no corte axial (asterisco).

Síndrome de Joubert: Também conhecida como malformação do dente molar, trata-se de anomalia autossômica recessiva caracterizada por hipoplasia do vérmis cerebelar e proeminência dos pedúnculos cerebelares superiores.

Quadro clínico: O paciente apresenta sintomas neurológicos diversos. Dentre eles, os principais são: atraso do desenvolvimento neuropsicomotor e movimentos oculares repetitivos (nistagmo horizontal ou vertical ou pendular) e ataxia. Há também envolvimento de outros sistemas, como oftalmológico, renal e esquelético.

    Exames de imagem:
  • Tomografia computadorizada do crânio: O bservamos o verme cerebelar fendido e o 4º ventrículo apresenta configuração em "asa de morcego";
  • Ressonância magnética do crânio: F enda vermiana, aparência do "dente molar". Pedúnculos cerebelares superiores paralelos, proeminentes e no mesmo plano (raízes molares). Em alguns casos, pode cursar com mielinização anormal.

Diagnósticos diferenciais: O s principais são contínuo de Dandy Walker, hipoplasia pontocerebelar e vermiana, hipoplasia do verme cerebelar e atrofia do verme cerebelar.

Autoria principal: Elazir Mota (Radiologia, especialista em Radiologia Pediátrica).

Mcgraw P. The molar tooth sign. Radiology. 2003; 229 (3):671-2.

Poretti A, Boltshauser E, Loenneker T, et al. Diffusion tensor imaging in Joubert syndrome. AJNR Am J Neuroradiol. 2007; 28(10):1929-33.

Barkovich AJ. Analysis and classification of cerebellar malformations. AJNR Am J Neuroradiol. 2002; 23(7):1074-87.

Van Beek EJ, Majoie CBL. Case 25: Joubert syndrome. Radiology. 2000; 216:379–382.

Blair IP, Gibson RR, Bennett CL. Search for genes involved in Joubert syndrome: evidence that one or more major loci are yet to be identified and exclusion of candidate genes EN1, EN2, FGF8, and BARHL1. Am J Med Genet. 2002; 107:190–196.