Conteúdo copiado com sucesso!

Síndrome de Kartagener

Voltar
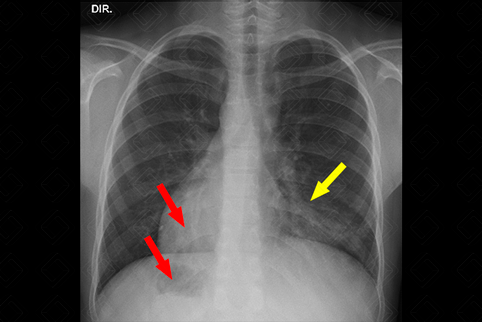
Texto alternativo para a imagem Figura 1. Créditos: Dra. Elazir Mota - Rio de Janeiro/RJ

Descrição da figura 1: Radiografia de tórax. Observe a presença de situs inversus totalis (seta vermelha no bordo cardíaco e fundo gástrico, ambos à direita). Há, ainda, opacidade borrando parcialmente o contorno cardíaco esquerdo (seta amarela).

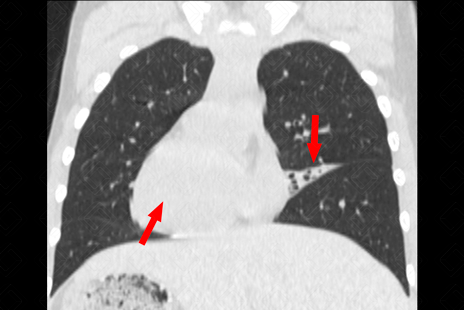
Texto alternativo para a imagem Figura 2. Créditos: Dra. Elazir Mota - Rio de Janeiro/RJ

Descrição da figura 2: Tomografia computadorizada do tórax confirma o situs inversus e torna mais evidente as bronquiectasias à esquerda (no que seria o correspondente ao lobo médio – seta vermelha).

Síndrome de Kartagener: T rata-se de um subgrupo das discinesias ciliares primárias, anteriormente conhecida como síndrome dos cílios imóveis, de herança autossômica recessiva, caracterizada por alterações estruturais ciliares às quais comprometem a atividade ciliar normal e têm consequências diretas sobre o clearance mucociliar, predispondo às infecções respiratórias repetidas, o que resulta em doença obstrutivo-supurativa crônica do trato respiratório. [cms-watermark]

A síndrome de Kartagener caracteriza-se por uma tríade: situs inversus , sinusopatia crônica e bronquiectasias . Em pacientes do sexo masculino, pode cursar com infertilidade por dismotilidade dos espermatozoides.

    Exames de imagem:
  • Radiografia de tórax: E m geral, observaremos espessamento das paredes brônquicas ou, em casos mais avançados, bronquiectasias. Sempre buscar por situs inversus (f igura 1) ;
  • Tomografia computadorizada do tórax: A caba sendo solicitada para confirmação do quadro, onde notamos com mais clareza as bronquiectasias e avaliamos adequadamente seu acometimento, sendo mais comum no lobo médio, língula e lobos inferiores (f igura 2) .

Os principais diagnósticos diferenciais estão relacionados a outras doenças que cursem com bronquiectasias.

Autor(a) principal: Elazir Mota (Radiologia, especialista em Radiologia Pediátrica).

Lee KJ. Essential otolaryngology, head & neck surgery. McGraw-Hill Professional, 2008.

Dähnert W. Radiology Review Manual. Lippincott Williams & Wilkins, 2007.

Berdon WE, Willi U. Situs inversus, bronchiectasis, and sinusitis and its relation to immotile cilia: history of the diseases and their discoverers-Manes Kartagener and Bjorn Afzelius. Pediatr Radiol. 2004;34(1):38-42.

Barker AF. Bronchiectasis. N. Engl. J. Med. 2002;346(18):1383-93.