Conteúdo copiado com sucesso!

Síndrome de Poland

Voltar
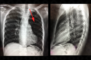
Texto alternativo para a imagem Figura 1. Créditos: Dra. Elazir Mota - Rio de Janeiro/RJ

Descrição da figura 1: Trata-se de um caso de hipertransparência pulmonar unilateral na radiografia de tórax. Observe que a transparência pulmonar esquerda é maior que a direita (ou seja, o pulmão esquerdo encontra-se mais “preto” que o contralateral) – seta vermelha. Foram afastadas as outras possibilidades diagnósticas e confirmada a síndrome de Poland.

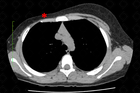
Texto alternativo para a imagem Figura 2. Créditos: Dra. Elazir Mota - Rio de Janeiro/RJ

Descrição da figura 2: Tomografia computadorizada do tórax evidenciando assimetria torácica importante, por ausência dos músculos peitorais maior e menor direitos (asterisco vermelho).

Síndrome de Poland: Síndrome congênita caracterizada pela agenesia unilateral da musculatura peitoral maior e/ou menor. Trata-se de uma das causas de hemitórax hiperluscente unilateral.

Não possui predileção por sexo, acometendo igualmente mulheres e homens. Trata-se de um síndrome rara, afetando 1:36.000 pacientes.

Quadro clínico: Usualmente, perceptível já ao nascimento, observando-se uma assimetria na caixa torácica e, frequentemente, outras anomalias ipsilaterais associadas, como sindactilia.

    Exames de imagem:
  • Mamografia: Observa-se hipoplasia ou aplasia do músculo peitoral maior, ausente na incidência médio lateral oblíqua;
  • Radiografia de tórax : A síndrome de Poland trata-se de uma das causas de hemitórax hiperluscente unilateral. É necessário excluir as outras causas de hiperluscência na radiografia aliado a um bom exame clínico do paciente (figura 1);
  • Ressonância magnética/tomografia computadorizada: Em geral, não são exames necessários para este diagnóstico. Em ambos, fica nítida a evidente assimetria torácica e a ausência de um ou ambos os músculos peitorais (figura 2).

Autoria principal: Elazir Mota (Radiologia, especialista em Radiologia Pediátrica).

Miranda TCC. Fibroadenoma em portadora de síndrome de Poland. Rev Bras Mastol. 2002; 12:51-3.

Jeung MY, Gangi A, Gasser B, et al. Imaging of chest wall disorders. RadioGraphics. 1999; 19:617-37.

Román J. Anomalía de Poland de caráter hereditário. Acta Pediatr Esp. 1994; 52:428.

Fisher MS. Aspergillosis of the chest wall in an apparently immunocompetent host: case report 750. Skeletal Radiol. 1992; 21:410-413.

Hugosson C, Nyman RS, Larsson S-G, et al. Imaging of tuberculosis. V. Peripheral osteoarticular and soft-tissue tuberculosis. Acta Radiol. 1996; 37:512-516.