Conteúdo copiado com sucesso!

Síndrome de Sprengel

Voltar
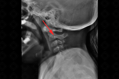
Texto alternativo para a imagem Figura 1. Créditos: Dra. Elazir Mota - Rio de Janeiro/RJ
Texto alternativo para a imagem Figura 2. Créditos: Dra. Elazir Mota - Rio de Janeiro/RJ

Descrição das figuras 1 e 2: Radiografia cervical. Presença de osso omovertebral à esquerda (setas vermelhas). Diante deste achado na criança, com deformidade da cintura escapular, sempre buscar pela possibilidade de síndrome de Sprengel.

Síndrome de Sprengel: Também conhecida como escápula alada, trata-se de uma desordem rara, mas permanece como a alteração mais comum no ombro. Consiste na elevação, adução e, frequentemente, rotação axial da escápula.

Mais comum no sexo masculino e, em geral, o lado esquerdo é mais comumente acometido. Pode ser bilateral e, na maioria das vezes, o lado esquerdo é o mais gravemente acometido.

Ocorre por uma falha no processo normal de migração da escápula da 4-5 vértebra cervical para sua porção mais posterior e dorsal na coluna torácica, entre o segundo e oitavo arcos costais. Em geral, associa-se a osso omovertebral ou estrutura cartilaginosa que fixa a escápula superomedialmente às vértebras cervicais. Ocasiona deformidades estéticas e funcionais, impedindo movimento normal da cintura escapular.

Quadro clínico: Já no período lactente observa-se deformidade óssea, com elevação da escápula. Paciente pode ainda apresentar redução da mobilidade na articulação glenoumeral do lado acometido.

    Exames de imagem:
  • Radiografia de coluna cervical: A avaliação inicial comumente é realizada por meio de radiografia de coluna que, na maioria dos casos, detecta com facilidade o osso omovertebral (imagens acima);
  • Ultrassonografia : Como complementação da avaliação, pode ser solicitada ultrassonografia que pode detectar a alteração escapular e evidenciar o tecido fibroso, conectando a escápula à coluna cervical;
  • Tomografia computadorizada coluna cervical: O método mais amplamente usado para complementação é a tomografia computadorizada, seguida de reconstruções 3D que detectam o osso omovertebral e as alterações de dimensões e posição da escápula;
  • Ressonância magnética coluna cervical : A ressonância magnética pode ser uma boa opção, mas trata-se de método pouco disponível e de alto custo, sendo difícil sua realização na população pediátrica.

Diagnósticos diferenciais: R aquitismo , osteomalácia, lesão do nervo torácico longo.

Autoria principal: Elazir Mota (Radiologia, especialista em Radiologia Pediátrica).

Dilli A, Ayaz UY, Damar C, et al. Sprengel deformity: magnetic resonance imaging findings in two pediatric cases. J Clin Imaging Sci. 2011; 1:13.

Kadavkolan AS, Bhatia DN, Dasgupta B, et al. Sprengel's deformity of the shoulder: Current perspectives in management. Int J Shoulder Surg. 2011; 5(1):1-8.

Chinn DH. Prenatal ultrasonographic diagnosis of Sprengel's deformity. J Ultrasound Med. 2001; 20(6):693-7.

Cho TJ, Choi IH, Chung CY, et al. The Sprengel deformity. Morphometric analysis using 3D-CT and its clinical relevance. J Bone Joint Surg Br. 2000; 82(5):711-8.

Baulot E, Trouilloud P, Giroux EA, et al. Ipsilateral omovertebral bones in the levator scapulae muscle and the rhomboid muscle in a Sprengel deformity: case report. Acta Orthop Belg. 1998; 64(1):92-5.