Conteúdo copiado com sucesso!

Síndrome de Sturge-Weber

Voltar
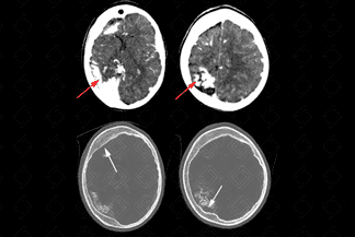
Texto alternativo para a imagem Créditos: Dra. Elazir Mota - Rio de Janeiro/RJ

Descrição da imagem: Tomografia computadorizada do crânio. Extensas calcificações girais na substância branca subcortical (setas vermelhas), em associação com atrofia no hemisfério cerebral direito onde há espessamento compensatório da díploe (setas brancas). Na janela óssea vemos com melhor nitidez as áreas de calcificação no hemisfério cerebral direito.

Síndrome de Sturge-Weber (ou angiomatose encefalotrigeminal): Ocorre quando veias corticais normais falham no seu desenvolvimento.

Quadro clínico: Em geral, os sintomas são as crises convulsivas, de difícil controle, hemiparesia e associação com manchas vinho do porto. Conforme a doença progride, com aumento da extensão do comprometimento lobar e da atrofia, as crises convulsivas tornam-se mais frequentes, levando a maior dano cerebral.

    Exames de imagem: S uas características de imagem representam uma sequela de oclusão venosa progressiva e da isquemia venosa crônica.
  • Tomografia computadorizada do crânio: C omo achados de imagem, observam-se as calcificações girais (calcificações em trilho de trem), realce leptomeníngeo, atrofia do hemisfério cerebral, hiperpneumatização dos seios paranasais e díploe espessada;
  • Ressonância magnética do crânio: A ressonância magnética do crânio é o exame de escolha diante da suspeita de síndrome de Sturge-Weber por evidenciar mais precocemente as alterações e achados de imagem (que podem ser sutis na fase inicial da doença).

Diagnósticos diferenciais: M alformação cerebral arteriovenosa, síndrome PHACE, infarto cortical, radioterapia e síndrome de Gobbi.

Autoria principal: Elazir Mota (Radiologia, especialista em Radiologia Pediátrica).

Sabeti S, Ball KL, Bhattacharya SK, et al. Consensus Statement for the Management and Treatment of Sturge-Weber Syndrome: Neurology, Neuroimaging, and Ophthalmology Recommendations. Pediatr Neurol. 2021; 121:59-66.

Griffiths PD. Sturge-Weber syndrome revisited: the role of neuroradiology. Neuropediatrics. 1996; 27(06):284-94.

Barkovich AJ. Diagnóstico por imagem: neurorradiologia pediátrica. 2a ed. Rio de Janeiro: GEN Guanabara Koogan, 2016.

Comi AM. Update on Sturge-Weber syndrome: diagnosis, treatment, quantitative measures, and controversies. Lymphat Res Biol. 2007; 5(4):257-64.

Moore GJ, Slovis TL, Chugani HT. Proton magnetic resonance spectroscopy in children with Sturge-Weber syndrome. J. Child Neurol. 1998; 13(7):332-5.