Conteúdo copiado com sucesso!

Síndrome de Susac

Voltar
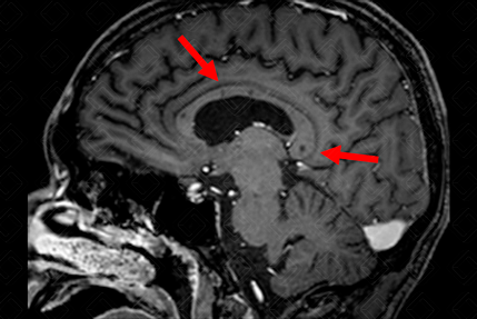
Texto alternativo para a imagem Figura 1. Créditos: Dra. Elazir Mota - Rio de Janeiro/RJ

Descrição da figura 1: Ressonância magnética do crânio T1 pós-contraste evidenciando lesões hipointensas no corpo caloso (lesões de aspecto perfurante) – setas vermelhas.

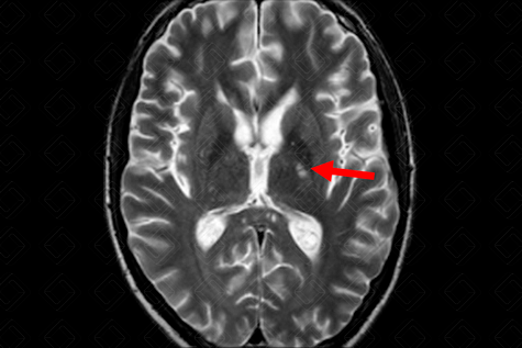
Texto alternativo para a imagem Figura 2. Créditos: Dra. Elazir Mota - Rio de Janeiro/RJ

Descrição da figura 2: Ressonância magnética do crânio T2 evidenciando lesão hiperintensa na cápsula interna esquerda (seta vermelha).

Síndrome de Susac: Trata-se de uma endoteliopatia autoimune, caracterizada pela tríade de encefalopatia, oclusão do ramo arterial da retina e perda auditiva neurosensorial. Caracteriza-se por predomínio no sexo feminino, sendo 3x mais comum e com faixa etária de acometimento ao redor dos 20-40 anos (adulto jovem).

Quadro clínico: E m geral, estes pacientes apresentam uma tríade clínica que consiste em encefalopatia aguda/subaguda, perda auditiva do tipo neurossensorial e oclusão dos ramos da artéria retiniana causando escotomas e outros distúrbios visuais.

    Exames de imagem:
  • A maioria dos achados de imagem são observados somente na ressonância magnética (RM). Deste modo, diante da suspeita clínica, o exame de escolha será a RM do crânio;
  • Os principais achados são: Lesões em "bola de neve" no corpo caloso em T2/Flair, podendo evoluir para lesão perfurante em T1, microinfartos da cápsula interna ("colar de pérolas"), lesões de substância branca e realce meníngeo (figuras 1 e 2).

Diagnósticos diferenciais: Esclerose Múltipla , Encefalomielite Disseminada Aguda (ADEM) , CADASIL e Vasculite .

Autoria principal: Elazir Mota (Radiologia, especialista em Radiologia Pediátrica).

Bose S, Papathanasiou A, Karkhanis S, Appleton JP, King D, Batra R, Mollan SP, Jacob S. Susac syndrome: neurological update (clinical features, long-term observational follow-up and management of sixteen patients). J Neurol. 2023 Dec;270(12):6193-6206.

Susac JO, Egan RA, Rennebohm RM, Lubow M (2007) Susac’s syndrome: 1975–2005 microangiopathy/autoimmune endotheliopathy. J Neurol Sci 257(1–2):270-272.

Do TH, Fish C, Evoy F. Susac syndrome: report of four cases and review of the literature. AJNR 2004; 25:382 –388.

Susac JO, Murtagh FR, Egan RA, et al. MRI findings in Susac's syndrome. Neurology 2003; 61:1783–1787.

Yu G, Peng GG, Wang L, et al. Susac syndrome: a report of two cases. Zhonghua Nei Ke Za Zhi 2003; 42:843–846.