Conteúdo copiado com sucesso!

Síndrome de Wernicke

Voltar
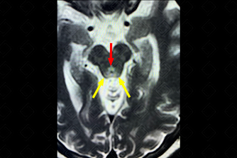
Texto alternativo para a imagem Figura 1. Créditos: Dra. Elazir Mota - Rio de Janeiro/RJ

Descrição da figura 1: Ressonância magnética do crânio, sequência FLAIR evidenciando hipersinal na placa quadrigeminal (seta vermelha e setas amarelas).

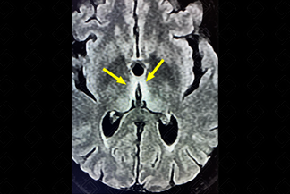
Texto alternativo para a imagem Figura 2. Créditos: Dra. Elazir Mota - Rio de Janeiro/RJ

Descrição da figura 2: Mesmo paciente da figura 1, ressonância magnética do crânio, sequência T2, evidenciando hipersinal bilateral e simétrico na porção medial dos tálamos (setas amarelas). Paciente com diagnóstico de encefalopatia de Wernicke, logo após a ressonância, iniciou reposição de Tiamina.

Encefalopatia de Wernicke: Também conhecida como Wernicke-Korsakoff syndrome, trata-se de uma deficiência de Tiamina (vitamina B1), habitualmente vista em pacientes alcoólatras. [cms-watermark]

Fatores de risco: Não só o alcoolismo está envolvido na deficiência de Tiamina e, sim, qualquer situação que leve à redução da ingesta vitamínica, como vômitos incoercíveis, quimioterapia, distúrbios alimentares, pós-operatório de cirurgias do trato gastrointestinal e outros.

Quadro clínico: Consiste na tríade de Wernicke composta por oftalmoplegia, confusão mental e ataxia.

    Exames de imagem:
  • Ressonância magnética do crânio: Diante dessa suspeita clínica, o exame de escolha deve ser a ressonância magnética por ser o único método capaz de detectar as alterações de sinal no parênquima. Observam-se áreas de hipersinal simétricas e bilaterais no T2 e FLAIR nas porções mediais do tálamo (85%), corpos mamilares (58%), teto mesencefálico ou placa quadrigeminal (35%), região periaquedutal e ao redor do 3 o ventrículo.

Diagnóstico diferencial: Diagnóstico diferencial importante é com a síndrome de Leigh que, habitualmente, não acomete os corpos mamilares e ocorre na faixa etária pediátrica.

Autor(a) principal: Elazir Mota (Radiologia, especialista em Radiologia Pediátrica).

Zuccoli G, Santa Cruz D, Bertolini M, et al. MR imaging findings in 56 patients with Wernicke encephalopathy: nonalcoholics may differ from alcoholics. Am J Neuroradiol. 2008; 30:171-6.

Jan K. (2018). Wernicke encephalopathy: (MRI) picture worth a thousand words. Oxford medical case reports, 2018(5), omy013.

Victor M. The Wernicke-Korsakoff syndrome. In: Vinken PJ, Bruyn GW, eds. Handbook of Clinical Neurology. Vol 28, Part II. Amsterdam, the Netherlands: North-Holland Publishing Company. 1976 :243-70.

Lapergue B, Klein I, Olivot JM, et al. Diffusion weighted imaging of cerebellar lesions in Wernicke's encephalopathy. J Neuroradiol. 2006; 33:126-28.