Conteúdo copiado com sucesso!

Síndrome dos Ovários Policísticos

Voltar
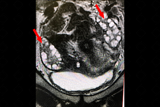
Texto alternativo para a imagem Créditos: Dra. Elazir Mota - Rio de Janeiro/RJ

Descrição da figura: Ressonância magnética da pelve no eixo coronal, imagem ponderada em T2 evidenciando ovários com volume aumentado bilateralmente (10 cc), com predomínio dos folículos na periferia dos ovários e mais de 12 folículos em cada ovário, permitindo que seja sugerido no laudo radiológico essa possibilidade diagnóstica (setas vermelhas).

Síndrome dos ovários policísticos: A síndrome dos ovários policísticos (SOAP) trata-se de um distúrbio hormonal que cursa com altos níveis de hormônio masculino (testosterona). Afeta mais comumente as pacientes em idade fértil e com sobrepeso. [cms-watermark]

Quadro clínico: C ursa com os seguintes sinais e sintomas: amenorreia, hirsutismo, infertilidade, acne, obesidade e aumento dos níveis de androgênio.

Os critérios de Rotterdam são utilizados para o diagnóstico de SOAP e requerem dois dos três elementos: Disfunção ovulatória, sinais clínicos e/ou laboratoriais de hiperandrogenismo e ovários policísticos nos exames de imagem (ultrassonografia ou ressonância magnética são os mais usados para avaliação de patologia de pelve feminina).

Exames de imagem: A lguns achados de imagem podem permitir que o radiologista sugira essa possibilidade diagnóstica, preferencialmente, quando aliado a uma boa história clínica. Os achados de imagem que ajudam no diagnóstico de SOAP são: ovários com dimensões aumentadas (volume ovariano acima de 10 cc), folículos predominando na periferia ovariana e mais de 12 folículos por ovário medindo entre 2-9 mm. Os exames de imagem que devem ser solicitados de escolha para essa avaliação são ultrassonografia transvaginal (lembrando que nas pacientes virgens ou com algum outro fator que contraindique essa via, como vaginismo, podemos optar pela ultrassonografia pélvica por via suprapúbica) ou ressonância magnética da pelve (figura acima) .

Vale lembrar que a presença de apenas um ovário com as características descritas é suficiente para identificar o padrão.

Autoria principal: Elazir Mota (Radiologia, especialista em Radiologia Pediátrica).

Azziz R, Woods KS, Reyna R, et al. The prevalence and features of the polycystic ovary syndrome in an unselected population. J Clin Endocrinol Metab. 2004; 89(6):2745-2749.

Talbott EO, Guzick DS, Sutton-Tyrrell K, et al. Evidence for association between polycystic ovary syndrome and premature carotid atherosclerosis in middle-aged women. Arterioscler Thromb Vasc Biol. 2000; 20(11):2414-2421.

Lee TT, Rausch ME. Polycystic ovarian syndrome: role of imaging in diagnosis. Radiographics. 2012; 32(6):1643-57.

Teede HJ, Misso ML, Costello MF, et al. Recommendations from the international evidence-based guideline for the assessment and management of polycystic ovary syndrome. Hum Reprod. 2018; 33(9):1602-1618.