Conteúdo copiado com sucesso!

Sarcoma

Voltar
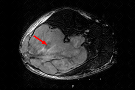
Texto alternativo para a imagem Figura 1. Créditos: Athena Hub/Medical Harbour

Descrição da figura 1: Ressonância magnética dos membros inferiores, T2. Lesão na face lateral do membro inferior direito, envolvendo os planos musculares e adiposos, com hipersinal homogêneo em T2 (seta vermelha).

Texto alternativo para a imagem Figura 2. Créditos: Athena Hub/Medical Harbour

Descrição da figura 2: Ressonância magnética de membros inferiores, T1 pré e pós-contraste evidenciando discreto realce da lesão na sequência T1 pós-contraste (seta vermelha).

Sarcoma: Trata-se de um grupo heterogêneo de tumores malignos, de origem mesenquimal, com acometimento mais comum nas partes moles (os sarcomas de partes moles são mais comuns do que os ósseos). Eles são classificados de acordo com a etiologia do tecido embriológico de origem. [cms-watermark]

O grau histológico dos sarcomas de partes moles é o principal fator envolvido no prognóstico do paciente. Alguns achados de imagem na ressonância magnética podem sugerir tratar-se de um tumor de alto grau (grau III): realce pós-contraste peritumoral, heterogeneidade de sinal em T2 envolvendo pelo menos 50% da área tumoral e presença de área necrótica (figuras 1 e 2).

Existem alguns tipos histológicos: leiomiossarcoma, sarcoma pleomórfico indiferenciado, outros sarcomas indiferenciados, sarcoma sinovial, mixofibrosarcoma, lipossarcoma, lipossarcoma pleomórfico, lipossarcoma mixoide/células redondas, tumores malignos de bainha de nervo periférico, fibroma de baixo grau e outros sarcomas.

Autoria principal: Elazir Mota (Radiologia, especialista em Radiologia Pediátrica).

Kransdorf MJ, Bancroft LW, Peterson JJ, Murphey MD, Foster WC, Temple HT. Imaging of fatty tumors: distinction of lipoma and well-differentiated liposarcoma. Radiology. 2002; 224:99-104.

Bancroft LW, Kransdorf MJ, Peterson JJ, O’Connor MI. Benign fatty tumors: classification, clinical course, imaging appearance, and treatment. Skeletal Radiol. 2006; 35:719-733.

Weiss SW, Goldblum JR. Enzinger and Weiss’s soft tissue tumors. St Louis, Mo: Mosby, 2001.

. Origin and classification of soft tissue tumors. In: Kransdorf MJ, Murphey MD. Imaging of soft tissue tumors. 2nd ed. Philadelphia, Pa: Lippincott Williams & Williams, 2006; 1-5.