Conteúdo copiado com sucesso!

Silicose

Voltar
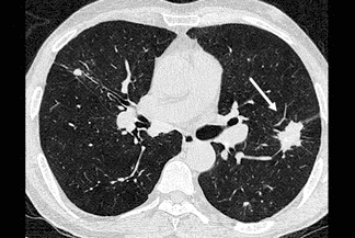
Texto alternativo para a imagem Figura 1 - Créditos: Dra Elazir Mota - Rio de Janeiro/RJ
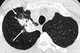
Texto alternativo para a imagem Figura 2 - Créditos: Dra Elazir Mota - Rio de Janeiro/RJ
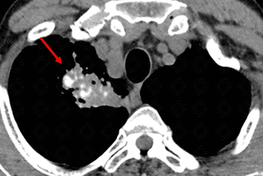
Texto alternativo para a imagem Figura 3 - Créditos: Dra Elazir Mota - Rio de Janeiro/RJ
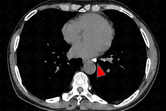
Texto alternativo para a imagem Figura 4 - Créditos: Dra Elazir Mota - Rio de Janeiro/RJ

Descrição da lesão: Tomografia computadorizada de tórax sem a administração do contraste. Grandes opacidades nas regiões posteriores dos lobos superiores, associadas à distorção arquitetural do parênquima. Observam-se ainda calcificações no interior das opacidades pulmonares (setas brancas - figuras 1 e 2).

Na janela de partes moles, as calcificações no interior das opacidades são melhor apreciadas (seta vermelha - figura 3), bem como os linfonodos calcificados no mediastino e hilo pulmonar (cabeça de seta - figura 4).

Silicose: É uma das pneumoconioses de maior ocorrência em todo mundo. O desenvolvimento da silicose está associado ao tamanho da partícula, ao tempo e à concentração da exposição, ao tipo de sílica cirstalina e à susceptibilidade individual. Para o adequado diagnóstico da silicose é essencial a história ocupacional, aliada a informação clínicas, com dados sobre tipo de trabalho desenvolvido, grau de exposição, tempo de trabalho e função.

Quadro clínico: A silicose pode ser classificada como aguda, acelerada ou crônica. A forma aguda, também denominada silicoproteinose, ocorre após pouco tempo de exposição em condições de alta concentração de poeira recém fragmentadas, especialmente no jateamento de areia, perfuração, corte e moagem de pedras. A forma acelerada é decorrente de exposição em jornadas de trabalho prolongadas ou em ambiente sem proteção coletiva. Em ambos os casos, paciente apresenta dispneia intensa, perda de peso, astenia e hipoxemia. Já a forma crônica (a mais comum), ocorre em 10-20 anos de exposição e inicialmente, os pacientes podem ser assintomáticos, podendo evoluir com dispneia progressiva aos esforços e até mesmo, cor pulmonale.

    Exames de imagem:
  • Radiografia de tórax: Possui baixa sensibilidade e especificidade para o diagnóstico, com altas taxas de falso negativos e positivos. Uma radiografia de tórax normal não exclui o diagnóstico;
  • Tomografia computadorizada do tórax: M étodo mais sensível e específico. Os achados inicias são micronódulos centrolobulares que com a evolução da doença tendem a confluir, formando nódulos maiores, grandes opacidades e, numa fase mais tardia, massas fibróticas geralmente com calcificações (massas conglomeradas) e aumento irregular do espaço aéreo adjacente. No mediastino, observamos linfonodomegalias ou calcificações linfonodais, que mais frequentemente são difusas, mas podem ter o aspecto de "casca de ovo" quando periféricas.

Diagnósticos diferenciais: S arcoidose, pneumoconiose dos mineradores de carvão e talcose (são os principais, pois também tendem a evoluir com padrão de massas congolmeradas).

Autoria principal: Elazir Mota (Radiologia, especialista em Radiologia Pediátrica).

Bégin R, Massé S, Cantin A, et al. Imaging of the pneumoconiosis: a multidisciplinary approach. J Thorac Imaging. 1988; 3:37-50.

Marchiori E, Dantas MCH, Nobre LF. Silicose: correlação da tomografia computadorizada de alta resolução com a anatomopatologia. Radiologia Brasileira. 2001; 34(1),1-6.

Silicosis and Silicated Disease Committee. Diseases associated with exposure to silica and nonfibrous silicate minerals. Arch Pathol Lab Med. 1988; 112:673¾720.

Bégin R, Filion R, Ostiguy G. Emphysema in silica- and asbestos-exposed workers seeking compensation. A CT scan study. Chest. 1995; 108: 647ž55.