Conteúdo copiado com sucesso!

Sinal da Irmã Maria José

Voltar
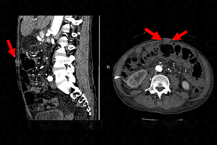
Texto alternativo para a imagem Créditos: Dra. Elazir Mota - Rio de Janeiro/RJ

Descrição da figura: Tomografia computadorizada do abdome evidenciando nódulo, com densidade de partes moles na região umbilical - setas vermelhas (paciente em reestadiamento de CA de cólon).

Sinal da irmã Maria José: A região umbilical pode ser acometida por diversas lesões, inclusive metástases de neoplasias internas, quando, então, recebe a denominação de nódulo da irmã Maria José. Os principais sítios de metástases são trato gastrointestinal e ginecológico (envolvimento mais comum do estômago, ovário, cólon e pâncreas). Em cerca de 15-29% dos casos, o sítio primário permanece desconhecido.

Quadro clínico: N ódulo na região umbilical, visível, podendo ser doloroso ou não, e apresentar descarga sanguinolenta ou purulenta.

    Exames:
  • Nódulo da irmã Maria José pode ser observado na ultrassonografia ou tomografia computadorizada ou ressonância magnética do abdome como lesão nodular, com densidade de partes moles, usualmente captante do contraste. Na ressonância magnética do abdome, podemos observar restrição a difusão.

Diagnósticos diferenciais: G ranulomas, queloide , endometriose , hérnia umbilical e, algumas vezes, lesões primárias da região umbilical (como melanoma).

Autoria principal: Elazir Mota (Radiologia, especialista em Radiologia Pediátrica).

Aich RK, Karim R, Chakraborty B, et al. Sister Mary Joseph's nodule. Indian J Med Paediatr Oncol. 2008;2:40-3.

Setty B, Blake MA, Holalkere NS et-al. Laparoscopic scar: a mimicker of Sister Mary Joseph's nodule on positron emission tomography/CT. Australas Radiol. 2006;50 (5): 507-9.

Coll DM, Meyer JM, Mader M, et al. Imaging appearances of Sister Mary Joseph nodule. Br J Radiol. 1999;72(864):1230-3.

Chen P, Middlebrook MR, Goldman SM, et al. Sister Mary Joseph nodule from metastatic renal cell carcinoma. J Comput Assist Tomogr. 1998;22(5):756-7.