Conteúdo copiado com sucesso!

Sinal de Chilaiditi

Voltar
Texto alternativo para a imagem
Texto alternativo para a imagem Créditos: Dra. Elazir Mota - Rio de Janeiro/RJ

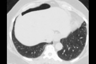
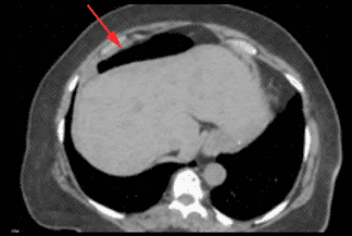
Descrição das imagens: Tomografia computadorizada do abdome evidenciando a interposição colônica no hipocôndrio direito.

Sinal de Chilaiditi: Descrição rara do posicionamento do intestino entre o fígado e o diafragma.

Quadro clínico: O s pacientes na maioria dos casos são assintomáticos (trata-se de achado de imagem).

    Exames de imagem:
  • Radiografia de abdome: I nterposição de gás (em geral, gás de uma laça colônica) entre fígado e o diafragma direito; podemos ver a haustração colônica, confirmando o sinal radiológico;
  • Tomografia computadorizada do abdome: E m geral, solicitada quando há algum tipo de dúvida na interpretação da radiografia. A tomografia ajuda a definir com clareza a interposição da alça colônica entre o fígado e diafragma direito.

Diagnóstico diferencial: Na radiografia de abdome pode ser um confundidor com pneumoperitônio (importante, correlacionar com história clínica do paciente).

Autoria principal: Elazir Mota (Radiologia, especialista em Radiologia Pediátrica).

Nakagawa H, Toda N, Taniguchi M, et al. Prevalence and sonographic detection of Chilaiditi's sign in cirrhotic patients without ascites. AJR Am J Roentgenol. 2006, 187(6).W589-93.

Roy FN, Beaulieu S, Boucher L, et al. Chilaiditi sign on FDG-PET. Clin Nucl Med. 2007; 32(10):802-4.

Chilaiditi D. Zur Frage der Hepatoptose und Ptose im allgemeinen im Anschluss an drei Falle von temporarer, partieller Leberverlagerung. Fortschr Geb Rontgenstr Nuklearmed Erganzungsband. 1910; 16:173-208.

Alva S, Shetty-Alva N, Longo WE. Image of the month. Chilaiditi sign or syndrome. Arch Surg. 2008; 143(1):93–4.