Conteúdo copiado com sucesso!

Sinusite Aguda

Voltar
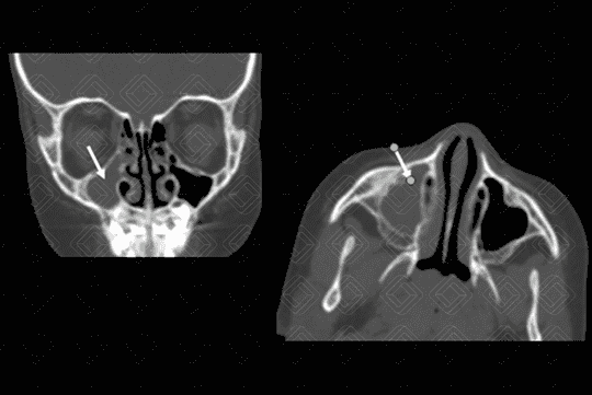
Texto alternativo para a imagem Figura 1. Créditos: Dra Elazir Mota - Rio de Janeiro/RJ
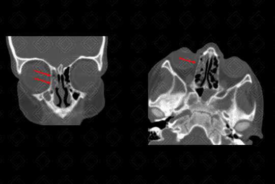
Texto alternativo para a imagem Figura 2. Créditos: Dra Elazir Mota - Rio de Janeiro/RJ
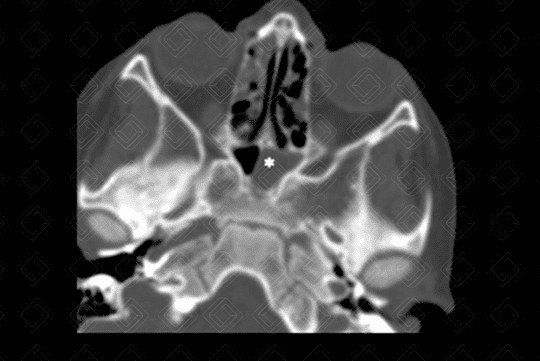
Texto alternativo para a imagem Figura 3. Créditos: Dra Elazir Mota - Rio de Janeiro/RJ

Descrição da lesão: Tomografia computadorizada de seios da face com cortes axiais, seguida de reconstruções coronais. Preenchimento completo do seio maxilar direito (seta branca na figura 1) e parcial das células etmoidais bilateralmente (setas vermelhas na figura 2), associado à obliteração do infundíbulo deste lado. Observa-se, ainda, espessamento mucoso concêntrico do seio esfenoidal esquerdo (asterisco na figura 3).

Sinusite aguda: T rata-se de uma inflamação aguda dos seios paranasais. Quando há envolvimento associado da cavidade nasal, o termo rinossinusite pode ser utilizado.

Quadro clínico: Paciente apresenta febre, corrimento nasal purulento, cefaleia, tosse e congestão nasal. Seu diagnóstico é clínico, com duração dos sintomas por menos de 4 semanas.

    Exames de imagem: L embrando que seu diagnóstico é usualmente, clínico, não sendo necessários exames de imagem.
  • Radiografia dos seios paranasais: P reenchimento e espessamento mucoso dos seios maxilares é bem caracterizado. Já a avaliação dos seios esfenoidais e células etmoidais é prejudicada ao método;
  • Tomografia computadorizada dos seios paranasais: O principal método usado na avaliação de sinusite e suas complicações, quando necessário;
  • Ressonância magnética dos seios paranasais: P ode ser utilizada, no entanto, apresenta pouca aplicabilidade na prática diária.

Diagnósticos diferenciais: S inusite crônica, pólipos, cistos de retenção e outros.

Autoria principal: Elazir Mota (Radiologia, especialista em Radiologia Pediátrica).

Ali A, Serhan O, Alsharif M, et al. Incidental Detection of Paranasal Sinuses Abnormalities on CT Imaging of the Head in Saudi Adult Population. PLoS One. 2022; 17(9):e0270764.

Avsever H, Gunduz K, Karakoç O, et al. Incidental findings on cone-beam computed tomographic images: paranasal sinus findings and nasal septum variations. Oral radiology. 2018; 34(1):40–8

Cornelius RS, Martin J, Wippold FJ, et al. ACR appropriateness criteria sinonasal disease. J Am Coll Radiol. 2013; 10(4):241-6.

Yousem DM. Imaging of sinonasal inflammatory disease. Radiology. 1993; 188(2):303-14.

Cheon BK, Shin SB, Cheon BJ, et al. Normal Value of Mucosal Thickness of Paranasal Sinuses, as Seen on Brain. Journal of the Korean Radiological Society. 1997; 36(2):195–198.