Conteúdo copiado com sucesso!

Situs inversus

Voltar
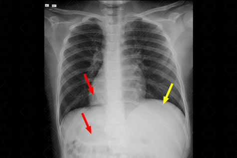
Texto alternativo para a imagem Créditos: Dra. Elazir Mota - Rio de Janeiro/RJ

[cms-watermark] Descrição da figura: Radiografia de tórax evidenciando situs inversus totalis , com ápice cardíaco e bolha gástrica voltados para a direita (setas vermelhas). Fígado à esquerda (seta amarela).

Situs inversus : Termo usado para descrever a posição invertida dos órgãos abdominais e torácicos. Chama-se situs inversus totalis quando há transposição completa dos órgãos abdominais e torácicos. Situs solitus é o nome dado ao adequado posicionamento dos órgãos. [cms-watermark]

Situs inversus , usualmente, está relacionado à dextrocardia, porém, em raros casos, há anomalia cardíaca associada. Quando ela existe, a mais comum é a transposição dos grandes vasos. Cerca de 20% dos pacientes, com situs inversus, é portador da síndrome de Kartagener (discinesia ciliar primária já discutida em nosso atlas) .

Exames de imagem: Em geral, trata-se de achado acidental, podendo ser observado em qualquer exame de imagem. No nosso caso, trata-se de uma radiografia de tórax evidenciando coração à direita, bem como bolha gástrica à direita, por situs inversus totalis .

Autor(a) principal: Elazir Mota (Radiologia, especialista em Radiologia Pediátrica).

Maldjian P & Saric M. Approach to Dextrocardia in Adults: Review. AJR Am J Roentgenol. 2007; 188(6_supplement):S39-49.

Andy Adam. Grainger Allisons Diagnostic Radiology 6e. (2014).

Applegate KE, Goske MJ, Pierce G, Murphy D. Situs revisited: imaging of the heterotaxy syndrome. RadioGraphics. 1999; 19:837-852.

Winer-Muram HT, Tonkin ILD. The spectrum of heterotaxic syndromes. Radiol Clin North Am. 1989; 27:1147-1170.