Conteúdo copiado com sucesso!

Teratoma Ovariano

Voltar

Texto alternativo para a imagem
Texto alternativo para a imagem
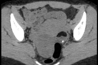
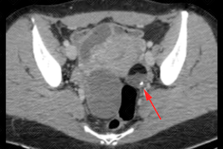
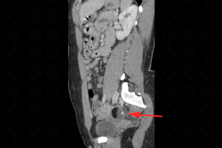
Texto alternativo para a imagem Figuras 1, 2 e 3. Créditos: Dra. Elazir Mota - Rio de Janeiro/RJ.

Descrição das figuras 1, 2 e 3: Tomografia computadorizada do abdome. Estudo pré e pós-contraste (fase portal). Observa-se lesão heterogênea, bem definida, com nível líquido-gorduroso e foco de calcificação ("sinal da pokebola"). A gordura é identificada por uma densidade abaixo negativa (seta vermelha). Essas características de imagem permitem que o diagnóstico de teratoma ovariano maduro possa ser sugerido.

Teratoma cístico ovariano maduro: O teratoma cístico maduro, também denominado cisto dermoide, devido à predominância de elementos cutâneos muitas vezes observada nesta neoplasia, constitui a variante mais comum. Representa 11-20% da totalidade de todos os tumores do ovário na adulta, sendo o mais frequente na criança (cerca de 50% dos casos). É um tumor cístico bem diferenciado, contendo tecido maduro derivado de duas ou três linhas germinativas: ectoderme, mesoderme e endoderme.

Quadro clínico: Em geral, estes tumores são assintomáticos e acabam sendo descobertos acidentalmente, quando a paciente realiza exame por outros motivos. No entanto, podem sofrer torção do seu pedículo (torção ovariana) e, nestes casos, a paciente apresentará dor pélvica aguda.

    Achados de imagem:
  • Ultrassonografia da pelve feminina (via transvaginal ou suprapúbica): Em geral, observa-se lesão predominantemente cística com nódulo parietal marcadamente ecogênico na sua parede. Pode-se observar ainda calcificação e gordura no interior da lesão;
  • Tomografia computadorizada do abdome e pelve: O estudo será realizado com contraste venoso idealmente, para melhor caracterização da lesão. A TC, no caso específico do teratoma maduro, possui uma sensibilidade alta para sua caracterização (cerca de 98%). Nela encontram-se áreas com densidade negativa (conteúdo gorduroso), calcificações e, na maioria dos casos, o nódulo mural (Rokitansky) no interior da formação cística. Nesses casos, é possível sugerir o diagnóstico (como nas imagens acima);
  • Ressonância magnética da pelve feminina: As sequências com supressão de gordura (T1 fat sat ) são úteis para diferenciar componente gorduroso e hemático (ambos possuem alto sinal em T1).

Diagnósticos diferenciais: C isto ovariano hemorrágico, endometrioma , cistoadenoma ovariano seroso ou mucinoso e outras lesões, como abscesso tubo ovariano.

Autoria principal: Elazir Mota (Radiologia, especialista em Radiologia Pediátrica).

Moomjian L, Clayton R, Carucci L. A Spectrum of Entities That May Mimic Abdominopelvic Abscesses Requiring Image-Guided Drainage. Radiographics. 2018; 38(4):1264-81.

Rha SE, Byun JY, Jung SE, et al. Atypical CT and MRI manifestations of mature ovarian cystic teratomas. AJR Am J Roentgenol. 2004; 183(3):743-50.

Levine D, Brown DL, Andreotti RF, et al. Management of asymptomatic ovarian and other adnexal cysts imaged at US: Society of Radiologists in Ultrasound Consensus Conference Statement. Radiology. 2010; 256(3):943-54.

Adusumilli S, Hussain H, Caoili E, et al. MRI of Sonographically Indeterminate Adnexal Masses. AJR Am J Roentgenol. 2006; 187(3):732-40

Fibus TF. Intraperitoneal rupture of a benign cystic ovarian teratoma: findings at CT and MR imaging. AJR Am J Roentgenol. 2000; 174(1):261-2.