Conteúdo copiado com sucesso!

Textiloma

Voltar
Texto alternativo para a imagem
Texto alternativo para a imagem Créditos: Dra. Elazir Mota - Rio de Janeiro/RJ

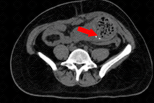
Descrição das figuras : Tomografia computadorizada do abdome, sem administração do contraste venoso, evidenciando, na fossa ilíaca esquerda, presença de massa ovalada, com densidade de partes moles e contendo imagem linear, espontaneamente densa, podendo representar marcador de compressa retida (seta vermelha).

Textiloma: Também conhecido como gossipiboma, refere-se a itens cirúrgicos de matriz têxtil deixados inadvertidamente no interior de cavidades após fechamento da ferida operatória. Gossipibomas são mais encontrados nesta ordem: Cavidade abdominal, pelve e tórax.

Os principais fatores de risco são p acientes expostos a cirurgias de emergência/urgência, mudanças no planejamento cirúrgico, obesidade e outros.

Existem duas principais formas de apresentação do gossipiboma, o p adrão exsudativo, que ocorre no pós-operatório imediato e caracteriza-se pela proliferação de bactérias no resto do material cirúrgico, cursando com abcesso; e o padrão fibrinoso que surge meses ou anos após a manipulação cirúrgica, com encapsulamento do corpo estranho e formação de pseudotumores.

Uma forma de prevenir o ocorrido é usar compressas com marcadores metálicos (como no nosso caso), que devem ser contadas antes, após e durante o procedimento; além de uma extensa revisão da cavidade abdominal antes do seu fechamento.

Quadro clínico: P aciente em boa parte dos casos pode ser assintomático, sendo o textiloma um achado nos estudos de imagem. No entanto alguns pacientes podem apresentar, febre e dor abdominal, pelo surgimento de complicações como a formação de abscessos.

    Exames de imagem: É de suma importância o radiologista ter conhecimento desse aspecto de imagem, para auxiliar no seu diagnóstico (figuras acima).
  • Ultrassonografia do abdome: E m geral no paciente com dor abdominal e no contexto de emergência, é o primeiro exame de imagem a ser solicitado. Evidencia uma lesão heterogênea, bem definida, avascular, definindo sua exata localização e dimensões. Quando necessário, diante de dúvida diagnóstica, complementa-se com outro método.
  • Tomografia computadorizada (TC) do abdome ou tórax : Aspecto de uma massa heterogênea alongada contendo bolhas de gás e densidades metálicas intra-cavitária. A TC é o método de imagem mais eficaz para a detecção de um textiloma retido.
  • Ressonância magnética: Usualmente, apresenta baixo sinal em T1 e T2, com algum realce no estudo pós-contraste.

Diagnósticos diferenciais: T umores intra-cavitários, abscessos e hematomas.

Autoria principal: Elazir Mota (Radiologia, especialista em Radiologista Pediátrica).

Varlas VN, Bors RG, Mastalier B, Balescu I, Bacalbasa N, Cirstoiu MM. Gossypiboma, the Hidden Enemy of an Emergency Cesarean Hysterectomy-Case Report and Review of the Literature. J Clin Med. 2023 Aug 17;12(16):5353.

Nobre LF, Marchiori E, May F, Carrão AD, Zanetti G, Machado DM. Thoracic textilomas after myocardial revascularisation: typical CT findings. Br J Radiol. Jan 2010;83(985):4-7.

Manzella A, Filho PB, Albuquerque E, et al. Imaging of gossypibomas: pictorial review. AJR Am J Roentgenol. 2009; 193(6 Suppl):S94-101.

Iglesias AC, Salomão RM. Gossipiboma intraabdominal: análise de 15 casos. Rev Col Bras Cir. 2007; 34(2):105-13.

O'Connor A, Coakley F, Meng M, et al. Imaging of retained surgical sponges in the abdomen and pelvis. AJR Am J Roentgenol. 2003;180(2):481-489.