Conteúdo copiado com sucesso!

Toxoplasmose

Voltar
Texto alternativo para a imagem
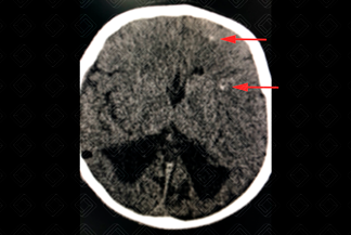
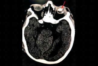
Texto alternativo para a imagem Figuras 1 e 2. Créditos: Dra. Elazir Mota - Rio de Janeiro/RJ

Descrição das figuras 1 e 2: Tomografia computadorizada nos planos axiais. Observam-se os globos oculares de dimensões reduzidas e calcificação grosseira no globo ocular à esquerda (seta na primeira imagem). Há ainda alguns focos tênues de calcificação na interface substância branca-cinzenta (setas na segunda imagem).

Toxoplasmose congênita: Causada pelo protozoário Toxoplasma gondii . Trata-se da segunda infecção congênita mais comum, perdendo em prevalência apenas para o citomegalovírus (CMV).

A contaminação do feto ocorre por via transplacentária após infecção materna primária. Nos adultos imunocompetentes, a toxoplasmose costuma ser assintomática, porém, quando ocorre no período gestacional, pode trazer graves sequelas para o bebê. A taxa de transmissão da mãe para o feto varia de < 10% no primeiro trimestre, 20-40% no segundo e mais de 80% no terceiro trimestre. No entanto, as sequelas são muito mais graves nos bebês infectados no primeiro trimestre.

Indicações de rastreio no bebê : infecção materna detectada antes ou durante a gestação, ou sinais clínicos no recém-nascido (como icterícia, hepatomegalia, púrpura, rash , elevação de transaminases, trombocitopenia, hiperbilirrubinemia, microftalmia, coriorretinite e crises convulsivas).

    Achados de imagem:
  • Ultrassonografia transfontanelar: Exame inicial de escolha para avaliação do bebê com transmissão vertical pelo Toxoplasma gondii . Achados de imagem incluem hidrocefalia (é a infecção congênita que mais comumente cursa com este achado), disgenesia do corpo caloso, cistos subependimários e envolvimento cerebelar. Focos ecogênicos, ainda sem sombra acústica posterior, frequentemente representam calcificações (nestes casos, é necessário complementar estudo com TC). Distúrbios de migração neuronal e microcefalia são achados pouco comuns;
  • Tomografia computadorizada (TC) do crânio: Quando a ultrassonografia encontra-se alterada, faz-se necessário complementar avaliação com a tomografia. Excelente método para avaliar calcificações grosseiras e aleatórias no parênquima encefálico. Permite ainda avaliação dos globos oculares (e da coriorretinite);
  • Ressonância magnética (RM) do crânio: N a maioria dos casos, não é necessário realizar RM de crânio para avaliação e/ou rastreio de toxoplasmose congênita.

Diagnósticos diferenciais: O utras infecções congênitas, como citomegalovírus (padrão de calcificação tem uma distribuição mais comum nas regiões periventriculares), rúbeola, sífilis, zikavírus e outros.

Autoria principal: Elazir Mota (Radiologia, especialista em Radiologia Pediátrica).

Levene MI, Chervenak FA. Fetal and Neonatal Neurology and Neurosurgery. 4th ed. Edinburgh: Churchill Livingstone, 2009.

Berry M. Diagnostic Radiology: Neuroradiology: Head and Neck Imaging. 2nd ed. New Delhi: Jaypee Brothers Medical Publishers, 2006.

Entezami M, Albig M, Gasiorek-Wiens A, et al. Ultrasound Diagnosis of Fetal Anomalies. 1st ed. New York: Thieme, 2003.

Wallon M, Liou C, Garner P, et al. Congenital toxoplasmosis: systematic review of evidence of efficacy of treatment in pregnancy. BMJ. 1999; 318:1511-4.

Bessières MH, Berrebi A, Rolland M, et al. Neonatal screening for congenital toxoplasmosis in a cohort of 165 women infected during pregnancy and influence of in utero treatment on the results of neonatal tests. Eur J Obstet Gynecol Reprod Biol. 2001; 94(1):37-45.