Conteúdo copiado com sucesso!

Trauma Renal

Voltar
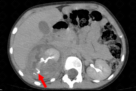
Texto alternativo para a imagem Figura 1. Créditos: Dra. Elazir Mota - Rio de Janeiro/RJ

Descrição da figura 1: Tomografia computadorizada do abdome com contraste na fase arterial. Presença de hematoma subcapsular (seta vermelha) e laceração no terço superior do rim direito (seta amarela).

Texto alternativo para a imagem Figura 2. Créditos: Dra. Elazir Mota - Rio de Janeiro/RJ

Descrição da figura 2: Tomografia computadorizada do abdome do mesmo paciente, fase tardia (fase excretória) onde se observa presença de extravasamento do meio de contraste (seta vermelha), indicando rompimento do fórnix renal (urinoma). O conjunto de achados categorizam paciente no trauma renal grau II.

Trauma renal: Presente em 8-10% dos traumas abdominais; na maioria dos casos envolve os traumas não penetrantes (cerca de 90% deles).

Quadro clínico: A hematúria está presente em cerca de 95% dos pacientes. Na prática radiológica, exames de imagem são solicitados nos pacientes com trauma penetrante e hematúria; ou trauma não penetrante com hematúria macroscópica; ou hematúria microscópica associado à instabilidade hemodinâmica ou hematúria microscópica e lesão de outros órgãos.

    Exames de imagem:
  • Ultrassonografia das vias urinárias/ abdome: Pode evidenciar hemoperitônio no entanto, possui baixa especificidade na detecção do trauma renal.
  • Tomografia computadorizada do abdome: O exame de escolha no contexto de trauma será a tomografia computadorizada do abdome com contraste venoso. Isso porque o contraste permite avaliar a presença de lesões venosas ou arteriais associadas. A tomografia é excelente para detectar lacerações renais, determinar presença e localização do hematoma renal, com ou sem extravasamento de contraste, presença de urinomas e outros achados. A ultrassonografia pode ser utilizada no protocolo FAST , diante de pacientes vítimas de trauma abdominal, mas sua avaliação limita-se a detecção de hemoperitônio. A ressonância é pouco usada no contexto de trauma pela demora na aquisição das imagens e pela sua limitação na avaliação de fraturas. Deve ser usada somente quando a tomografia não estiver disponível ou houver reação alérgica/contraindicação à injeção do contraste iodado.
    Classificação do trauma renal:
  • Grau I: Contusões, hematomas subcapsulares, pequenas lacerações com hematoma perinefrético limitado e sem extensão ao sistema coletor ou medular, pequenos infartos corticais;
  • Grau II: Lacerações maiores através do córtex e estendendo para medula renal ou sistema coletor, com ou sem urinoma ou infarto segmentar (f iguras 1 e 2);
  • Grau III: Múltiplas lacerações, dano vascular envolvendo pedículo renal;
  • Grau IV: Lesão da junção ureteropélvica (ruptura e avulsão completa ou laceração).

Diagnósticos diferenciais: C arcinoma de células renais, angiomiolipoma , pielonefrite e vasculites.

Autoria principal: Elazir Mota (Radiologia, especialista em Radiologia Pediátrica).

Lee YJ, Oh SN, Rha SE et-al. Renal trauma. Radiol. Clin. North Am. 2007;45 (3): 581-92, ix.

Park SJ, Kim JK, Kim KW et-al. MDCT Findings of renal trauma. AJR Am J Roentgenol. 2006;187 (2): 541-7.

Kawashima A, Sandler CM, Corl FM, et al. Imaging of Renal Trauma: A Comprehensive Review. RadioGraphics 2001;21:3, 557-574.

Sandler CM, Amis ES, Jr, Bigongiari LR, et al. Diagnostic approach to renal trauma: American College of Radiology—ACR Appropriateness Criteria. Radiology 2000; 215(suppl):727-731.