Conteúdo copiado com sucesso!

Traumatismo Cranioencefálico (Infantil)

Voltar
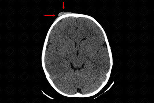
Texto alternativo para a imagem Figura 1. Créditos: Dra Elazir Mota - Rio de Janeiro/RJ
Texto alternativo para a imagem Figura 2. Créditos: Dra Elazir Mota - Rio de Janeiro/RJ
Texto alternativo para a imagem Figura 3. Créditos: Dra Elazir Mota - Rio de Janeiro/RJ

Descrição da lesão: Traumatismo cranioencefálico na criança. Tomografia computadorizada do crânio com reconstrução tridimensional (3D): presença de volumoso hematoma subgaleal na região frontal direita (figura 1, setas vermelhas). Na reconstrução tridimensional, nota-se o traço de fratura na mesma topografia com extensão ao teto da órbita deste lado, sem desalinhamento ósseo significativo (figura 2 e 3).

Traumatismo cranioencefálico (TCE): S eu diagnóstico é clínico. No entanto, a tomografia de crânio realiza importante papel com informações da extensão do acometimento no sistema nervoso central (SNC), o tipo de injúria/lesão e serve também como exame de acompanhamento.

Quadro clínico: Variável. Paciente pode estar com nível de consciência preservado, desorientado ou até mesmo irresponsivo/comatoso (avaliado pela escala de Glasgow), pode ainda queixar-se de cefaleia, náuseas e vômitos.

    Exames de imagem:
  • Tomografia computadorizada do crânio: E xame de escolha na avaliação do TCE, detectando os hematomas subgaleais , hematoma epidural , hematoma subdural, hemorragias subaracnoides , hemorragias intraparenquimatosas , edema cerebral, contusão cerebral e outras lesões intraparenquimatosas, bem como lesões vasculares. Excelente método para avaliação de fraturas na calota craniana ou base do crânio;
  • Ressonância magnética do crânio: Não é o exame de escolha no contexto do trauma por ser demorado e dependente da cooperação do paciente (muitas vezes isso não é possível devido a inconsciência dele). Além disso, a RM não é um bom método para detecção de fraturas;
  • Vale lembrar que no contexto de traumatismo craioencefálico, a radiografia do crânio e ultrassonografia transfontanelar nunca serão exames de escolha.

Autoria principal: Elazir Mota (Radiologia, especialista em Radiologia Pediátrica).

Schweitzer AD, Niogi SN, Whitlow CT, et al. Traumatic Brain Injury: Imaging Patterns and Complications. RadioGraphics. 2019; 39(6):1571-1595

Paneitz DC, Ahmad S. Pediatric Trauma Update. Mo Med. 2018; 115(5):438-442.

Araki T, Yokota H, Morita A. Pediatric Traumatic Brain Injury: Characteristic Features, Diagnosis, and Management. Neurol Med Chir (Tokyo). 2017; 57(2):82-93.

Orlovska S, Pedersen MS, Benros ME, et al. Head injury as risk factor for psychiatric disorders: a nationwide register-based follow-up study of 113,906 persons with head injury. The American journal of psychiatry. 2014; 171 (4): 463-9.

Maas AI, Stocchetti N, Bullock R. Moderate and severe traumatic brain injury in adults. Lancet Neurol. 2008; 7(8):728-41.