Conteúdo copiado com sucesso!

Tromboembolismo Pulmonar

Voltar
Texto alternativo para a imagem
Texto alternativo para a imagem
Texto alternativo para a imagem Créditos: Dra Elazir Mota - Rio de Janeiro/RJ

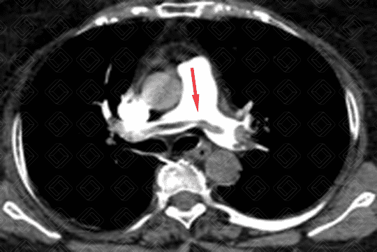
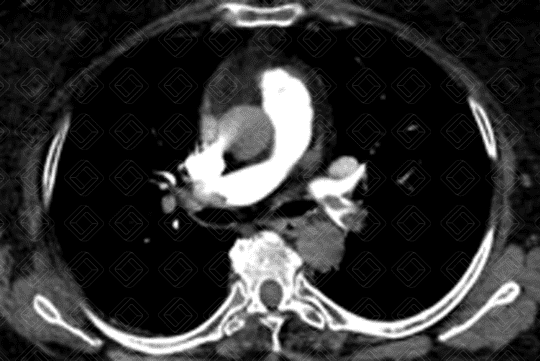
Descrição das imagens: Angiotomografia computadorizada do tórax com aquisições axiais e coronal, evidenciando tromboembolia pulmonar maciça com “êmbolo em sela” (seta vermelha) nas artérias pulmonares principais.

Tromboembolismo pulmonar aguda (TEP): É , usualmente, uma complicação em pacientes acamados por tempo prolongado e também naqueles em pós-operatório. A origem dos trombos é habitualmente, de veias de membros inferiores, pélvicas ou abdominais.

Quadro clínico: Na maioria dos casos há uma história pregressa, como imobilização e cirurgias recentes, neoplasia, uso de hormônios/contraceptivos orais ou história prévia de trombose. O exame clínico, em geral, demonstra sinais de trombose venosa profunda (edema assimétrico de membros inferiores e empastamento de panturrilha) associado a taquicardia, dispneia, dor pleurítica e hemoptise.

    Exames de imagem:
  • Radiografia de tórax: Existem dois principais achados: sinal de Westermark: Caracteriza-se por oligoemia regional e depende de oclusão de artéria pulmonar de grosso calibre; e corcova de Hampton: Consolidação cuneiforme na periferia do pulmão. Em geral ocorre por infarto pulmonar. No entanto, é importante salientar que a radiografia de tórax não é diagnóstica de TEP e seu papel é importante no sentido de excluir outras condições, como pneumotórax, pneumonia, etc;
  • Angiotomografia computadorizada do tórax: Padrão-ouro para o manejo do TEP agudo. Este exame é sempre realizado após a administração do meio de contraste. O principal sinal é a falha de enchimento, formando um ângulo agudo com a parede do vaso, delimitada pela substância contrastante (figura 1).
    Diagnósticos diferenciais: N eoplasias (sarcoma de artéria pulmonar), inflamatórias (vasculite de artéria pulmonar e arterite de Takayasu).

Autoria principal: Elazir Mota (Radiologia, especialista em Radiologia Pediátrica).

Moore AJE, Wachsmann J, Chamarthy MR, et al. Imaging of acute pulmonary embolism: an update. Cardiovasc Diagn Ther. 2018; 8(3):225-243.

Marchiori E, Zanetti G, Escuissato DL, et al. Reversed halo sign: high-resolution CT scan findings in 79 patients. Chest. 2012; 141(5):1260-1266.

Revel MP, Triki R, Chatellier G, et al. Is it possible to recognize pulmonary infarction on multisection CT images? Radiology. 2007; 244(3):875-82.

Han D, Lee K, Franquet T, et al. Thrombotic and Nonthrombotic Pulmonary Arterial Embolism: Spectrum of Imaging Findings. Radiographics. 2003; 23(6):1521-39.

Balakrishnan J, Meziane MA, Siegelman SS, et al. Pulmonary infarction: CT appearance with pathologic correlation. J Comput Assist Tomogr. 1989; 13(6):941-5.