Conteúdo copiado com sucesso!

Trombose Venosa Cerebral

Voltar
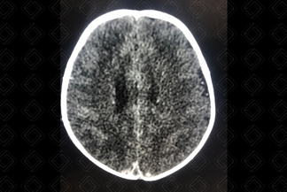
Texto alternativo para a imagem Figura 1. Créditos: Dra. Elazir Mota - Rio de Janeiro/RJ
Texto alternativo para a imagem Figura 2. Créditos: Dra. Elazir Mota - Rio de Janeiro/RJ

Descrição das figuras 1 e 2: Tomografia computadorizada do crânio após a administração do contraste venoso. Sinal do delta vazio (seta vermelha): caracteriza-se pela falha de enchimento no interior do seio sagital superior, pela trombose.

Trombose venosa cerebral: A doença oclusiva venosa cerebral é uma cauda enganadora, geralmente subdiagnosticada de deterioração neurológica aguda. Como os sinais e sintomas são frequentemente inespecíficos, o estudo de imagem é crítico para o diagnóstico desta condição. Trata-se de um processo multifatorial que começa, provavelmente, quando o trombo oclui incompletamente um seio dural, usualmente o seio sagital superior. Na população pediátrica, as principais causas são: desidratação, infecção, trauma e doenças hematológicas. Nos adultos, infecção, contraceptivos orais, puerpério, gravidez, tumores, trauma, desidratação, doenças vasculares, doenças do colágeno, síndrome do anticorpo antifosfolipídeo, doença de Behçet e desordens hematológicas.

O seio sagital superior (SSS) é o seio dural mais comumente ocluído, seguido pelos seios transverso, sigmoide e cavernoso. As veias comumente ocluídas são as veias corticais superficiais que drenam no SSS.

Quadro clínico: S intomas como cefaleia, alterações do sensório e visuais, náuseas e vômitos. Sinais no exame físico mais comuns são papiledema e paralisia de nervos cranianos.

    Exames de imagem:
  • Tomografia computadorizada do crânio: Um dos grandes exames é angiotomografia venosa do crânio, que irá fazer adequado estudo dos seios venosos e das veias corticais. Permite ainda excelentes reconstruções tridimensionais (figura 1). Trombo no interior dos seios venosos, sinal do delta vazio (o sinal é caracterizado por uma área triangular central, que não realça - trombo propriamente dito, delimitada pela dura-máter captante do meio de contraste), congestão venosa e hemorragia subaracnoide. Na tomografia, o infarto ou edema cortical pode ser difícil visualização em fase mais precoce (aguda);
  • Ressonância magnética do crânio e angiorressonância venosa: N a sequência T1 podemos observar hipersinal pela presença do trombo hemático no interior do seio. A sequência SWI auxilia na visualização da congestão venosa. FLAIR e T2 são ótimas sequências para avaliação do edema cortical.

Diagnóstico diferencial: Q uando a falha no seio dural é bem visualizada, caracterizando o trombo, praticamente se afasta a possibilidade de outros diagnósticos diferenciais.

Autoria principal: Elazir Mota (Radiologia, especialista em Radiologia Pediátrica).

Rodallec MH, Krainik A, Feydy A, et al. Cerebral venous thrombosis and multidetector CT angiography: tips and tricks. Radiographics. 2006; 26 Suppl 1:S5-18.

Bousser MG. Cerebral venous thrombosis: nothing, heparin, or local thrombolysis? Stroke. 1999; 30(3):481-3.

Mokin M, Ciambella CC, Masud MW, et al. Whole-Brain Computed Tomographic Perfusion Imaging in Acute Cerebral Venous Sinus Thrombosis. Interventional Neurology. 2016; [cms-watermark] 4(3-4):104-12.