Conteúdo copiado com sucesso!

Tuberculose (Infantil)

Voltar
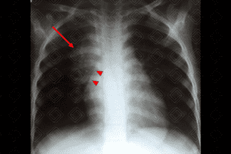
Texto alternativo para a imagem Figura 1. Créditos: Dra Elazir Mota - Rio de Janeiro/RJ
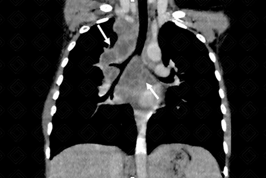
Texto alternativo para a imagem Figura 2. Créditos: Dra Elazir Mota - Rio de Janeiro/RJ
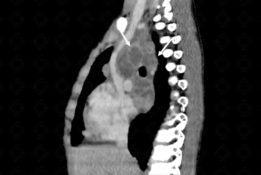
Texto alternativo para a imagem Figura 3. Créditos: Dra Elazir Mota - Rio de Janeiro/RJ

Descrição da lesão: Radiografia de tórax PA (figura 1): observa-se alargamento do mediastino na região hilar direita (seta vermelha) com consequente afilamento do brônquio-fonte deste lado (cabeças das setas vermelhas).

Estudo foi complementado com tomografia computadorizada do tórax, após a administração do contraste venoso: cortes coronal (figura 2) e sagital (figura 3), evidenciando linfonodomegalias mediastinais com realce periférico pelo meio de contraste e conteúdo interno hipodenso, não captante do meio de contraste (setas brancas), devendo representar áreas de necrose. Este aspecto tomográfico das linfonodomegalias, com área central de necrose, é muito sugestivo de doença granulomatosa, especialmente tuberculose.

Tuberculose (infantil): P ermanece sendo uma importante causa de morbimortalidade em todo mundo. As crianças fazem parte de um dos importantes grupos de risco, especialmente as menores de 5 anos.

Nos recém-nascidos e crianças, a principal forma de infecção é a tuberculose primária.

A infecção primária se inicia com a deposição de "gotículas" do bacilo nos alvéolos pulmonares, seguida de inflamação, evoluindo para uma consolidação alveolar que é o foco primário. Posteriormente, por drenagem linfática deste foco primário, a infecção atinge os linfonodos centrais (complexo de Ranke).

Na maioria dos casos, a linfadenomegalia e o foco de consolidação resolvem sozinhos.

Em alguns casos, principalmente nas crianças mais jovens, esses linfonodos podem aumentar de tamanho, evoluindo com necrose caseosa, causando estreitamento do brônquio adjacente, estenose e até mesmo áreas de enfisema. Posteriormente, esses linfonodos podem fistulizar para a árvore traqueobrônquica levando ao quadro de tuberculose com disseminação broncogênica.

Quadro clínico: Q uadro clínico arrastado de tosse, febre, escarro purulento ou hemoptoico, rinorreia e taquipneia.

    Exames de imagem:
  • Radiografia de tórax AP ou PA + perfil: N esse grupo, o principal achado radiológico será a linfonodomegalia hilar/ mediastinal. Alterações pulmonares mais grosseiras, como as consolidações, também podem ser observadas sem dificuldade na radiografia de tórax;
  • Tomografia computadorizada do tórax: A tomografia é excelente para detecção de pequenos nódulos centrolobulares (por disseminação broncogênica) ou para avaliação de suspeita de doença avançada, com a tuberculose na sua forma miliar. Excelente método ainda para avaliar a presença de linfonodomegalias, com uma sensibilidade de 100% (idealmente, deve ser realizada com contraste venoso para adequada avaliação das linfonodomegalias mediastinais e suas complicações).

Diagnósticos diferenciais : Histoplasmose (também faz um padrão miliar), metástases de tumor de tireoide (padrão miliar), doenças fúngicas, virais, abscesso pulmonar, pneumonia fúngica, aspergilose e outras.

Autoria principal: Elazir Mota (Radiologia, especialista em Radiologia Pediátrica).

Elsingergy MM, Naidoo J, Baker G, et al. Comparison of chest radiograph findings in ambulatory and hospitalized children with pulmonary tuberculosis. Pediatr Radiol. 2023; 53(9):1765-1772.

Miranda-Schaeubinger M, Venkatakrishna SSB, Otero HJ, et al. Evolving role of chest radiographs for diagnosis of pediatric pulmonary tuberculosis. Pediatr Radiol. 2023; 53(9):1753-1764.

Kim WS, Choi J, Cheon JE, Kim I, et al. Pulmonary Tuberculosis in Infants: Radiographic and CT Findings. American Journal of Roentgenology. 2006; 187(4):1024-1033.

Sodhi KS, Bhalla AS, Mahomed N, et al. Imaging of thoracic tuberculosis in children: current and future directions. Pediatr Radiol. 2017; 47:1260–1268.

TB Care I. International Standards for Tuberculosis Care. 3rd ed. The Hague, 2014.