Conteúdo copiado com sucesso!

Tuberculose (Tuberculoma)

Voltar
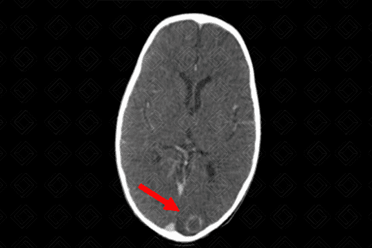
Texto alternativo para a imagem Figura 1. Créditos: Dra Elazir Mota - Rio de Janeiro/RJ
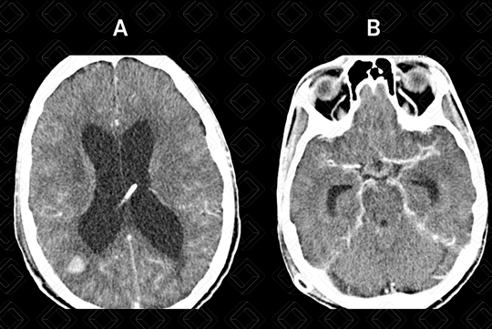
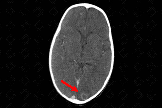
Texto alternativo para a imagem Figura 2. Créditos: Dra Elazir Mota - Rio de Janeiro/RJ


Texto alternativo para a imagem Figura 3. Créditos: Dra Elazir Mota - Rio de Janeiro/RJ

Descrição da lesão (figuras 1 e 2): Abcesso cerebral (tuberculoma). Tomografia computadorizada do crânio com contraste venoso: lesão ovalada, bem definida, hipodensa, com realce periférico pelo meio de contraste (captação anelar) e discreto edema de permeio à lesão, na região occipital esquerda.

Descrição da lesão (figura 3): Tomografia computadorizada de crânio com contraste venoso. A: Lesão arredondada com captação anelar pelo meio de contraste na região parietal direita (tuberculoma). B: Intenso realce pós contraste nas cisternas da base, por meningite tuberculosa.

Tuberculose: Caracteriza-se pela infecção pelo bacilo álcool-ácido resistente Mycobacterium tuberculosis e tipicamente causa meningite tuberculosa (MTB) e/ou infecção localizada do sistema nervoso central (SNC), tuberculoma. Lembrando que a tuberculose no SNC é quase sempre secundária (de origem pulmonar).

Quadro clínico: O quadro clínico é bem variável desde discreta meningite sem déficit neurológico até o coma. Em geral, a meningite tuberculosa cursa com febre, cefaleia, confusão mental, letargia e sinais de meningismo.

    Exames de imagem:
  • Tomografia computadorizada do crânio: P ode ser normal inicialmente (10-15% dos casos). Mais tardiamente há o surgimento de intenso realce meníngeo nas cisternas da base (basilar) e/ou lesão nodular hipodensa, com intenso realce periférico (anelar) que corresponde ao tuberculoma;
  • Ressonância magnética do crânio: O tuberculoma apresenta-se como lesão com hiperintensa no T2, com realce intenso pelo contraste, de aspecto nodular e hipersinal central na difusão. Nas cisternas da base também pode haver intensa impregnação no estudo pós contraste.

Diagnósticos diferenciais: O s principais são neurossarcoidose, meningite, abscesso e neoplasia.

Autoria principal: Elazir Mota (Radiologia, especialista em Radiologia Pediátrica).

Harisinghani MG, McLoud TC, Shepard JA, et al. Tuberculosis from head to toe. Radiographics. 2000; 20(2):449-70.

Helm CJ, Holland GN. Ocular tuberculosis. Surv Ophthalmol. 1993; 38:229-256.

Moon WK, Han MH, Chang KH, et al. CT and MR imaging of head and neck tuberculosis. RadioGraphics. 1997; 17:391-402.

Maclean KA, Becker AK, Chang SD, et al. Extrapulmonary tuberculosis: imaging features beyond the chest. Can Assoc Radiol J. 2013; 64(4):319-24.

Gupta RK, Kumar S. Central nervous system tuberculosis. Neuroimaging Clinics. 2011; 21(4)795-814.