Conteúdo copiado com sucesso!

Tumor Cístico Seroso Pancreático

Voltar
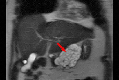
Texto alternativo para a imagem Figura 1. Créditos: Dra. Elazir Mota - Rio de Janeiro/RJ

Descrição da figura 1: Plano coronal, sequência T2, obtida em paciente do sexo feminino, 66 anos, evidenciando lesão lobulada, de aspecto microcístico, na cabeça pancreática (seta vermelha).

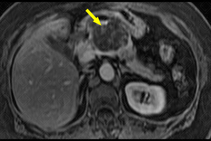
Texto alternativo para a imagem Figura 2. Créditos: Dra. Elazir Mota - Rio de Janeiro/RJ

Descrição da figura 2: Sequência T1, pós-contraste, plano axial, evidenciando a mesma lesão, com realce pós-contraste da parede dos septos, no interior da lesão (seta amarela).

T umor cístico seroso pancreático ou cistoadenoma seroso: Faz parte do grupo de lesões císticas pancreáticas, sendo um achado de imagem relativamente comum. A acurada caracterização do cisto, com avaliação de seu conteúdo interno, aliado a uma boa história clínica, auxiliam na diferenciação dos subtipos.

Epidemiologia: O tumor cístico seroso caracteriza-se por neoplasia pancreática benigna que ocorre, preferencialmente, em mulheres mais velhas (acima dos 65 anos). Pode estar associado à doença de von Hippel-Lindau.

    Exames de imagem:
  • Ultrassonografia de abdome: Não é o exame de escolha por não detectar adequadamente pequenas lesões e ter sua resolução espacial limitada;
  • Tomografia computadorizada do abdome: Permite boa visualização do pâncreas e, até mesmo, de pequenas lesões. Além disso, permite boa avaliação da presença ou não de calcificações. Sabe-se, no entanto, que a presença de calcificações não é um fator primordial na classificação e diferenciação destas lesões;
  • Ressonância magnética de abdome: Exame de escolha para avaliação das lesões císticas pancreáticas pela adequada caracterização do interior do cisto, seu conteúdo e a presença de septos internos. Possui melhor definição tecidual quando comparada à tomografia. Na imagem, o cistoadenoma seroso apresenta-se como múltiplos pequenos cistos aglomerados , com seu tamanho variando de 0,1-2,0 cm, com aspecto em colmeia , separados por septos fibrosos e, comumente, podem apresentar uma cicatriz central . Não há comunicação entre o cisto e o ducto pancreático principal .

Autor(a) principal: Elazir Mota (Radiologia, especialista em Radiologia Pediátrica).

Martin DR, Semelka RC. MR imaging of pancreatic masses. Magn Reson Imaging Clin N Am 2000;8:787-812.

Song SJ, Lee JM, Kim YJ, et al.. Differentiation of intraductal papillary mucinous neoplasms from other pancreatic cystic masses: comparison of multirow-detector CT and MR imaging using ROC analysis. J Magn Reson Imaging 2007;26:86-93.

Morita S, Ueno E, Suzuki K, et al.. Navigator-triggered prospective acquisition correction (PACE) technique vs. conventional respiratory-triggered technique for free-breathing 3D MRCP: an initial prospective comparative study using healthy volunteers. J Magn Reson Imaging 2008;28:673-677.

Tseng JF, Warshaw AL, Sahani DV, et al. Serous cyst-adenoma of the pancreas: tumor growth rates and recommendations for treatment. Ann Surg 2005;242:413-419; discussion 419-421.