Conteúdo copiado com sucesso!

Tumor Mucinoso Pancreático

Voltar
Texto alternativo para a imagem
Texto alternativo para a imagem Créditos: Dra. Elazir Mota - Rio de Janeiro/RJ

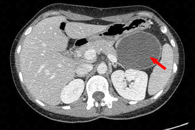
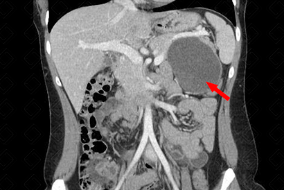
Descrição das figuras: Paciente do sexo feminino, 45 anos, realizou tomografia computadorizada do abdome com contraste venoso, fase portal evidenciando extensa lesão hipodensa, com realce parietal e periférico pelo meio de contraste, na cauda pancreática (setas vermelhas). O diagnóstico pela história clínica e características de imagem é sugestiva de cistoadenoma mucinoso. [cms-watermark]

Tumor mucinoso pancreático: Corresponde a cerca de 10% das lesões císticas pancreáticas. É composto, em geral, por epitélio colunar, produtor de mucina. [cms-watermark]

Epidemiologia: Mais comum em mulheres de meia idade (ao redor dos 40-50 anos - "tumor da mãe" ), acometendo, preferencialmente, a cauda ou corpo pancreático .

    Exames de imagem:
  • Ressonância magnética do abdome: Como já discutido no tópico de cistoadenoma seroso , a ressonância é o método de escolha para a adequada caracterização do cisto e seu diagnóstico diferencial. Apresenta-se como lesão unilocular ou com discreta septação, sendo sua parede espessa e comumente, impregnando-se mais tardiamente pelo contraste venoso. O cisto apresenta hiperssinal em T2 e hipossinal em T1;
  • Tomografia computadorizada do abdome: O bservaremos lesão hipodensa, de densidade cística, com realce na parede do cisto, localizada, preferencialmente, no corpo/cauda pancreáticos (f iguras acima) .

Tratamento: A maioria dos cistos mucinosos pancreáticos apresentam potencial maligno e, por isso, necessitam ser ressecados e levados para análise patológica a fim de detectar algum grau de displasia ou carcinoma in situ na amostra.

Autor(a) principal: Elazir Mota (Radiologia, especialista em Radiologia Pediátrica).

Martin DR, Semelka RC. MR imaging of pancreatic masses. Magn Reson Imaging Clin N Am 2000;8:787-812.

Hirooka Y, Goto H, Itoh A, et al. Case of intraductal papillary mucinous tumor in which endosonography-guided fine-needle aspiration biopsy caused dissemination. J Gastroenterol Hepatol 2003;18:1323-1324.

Van der Waaij LA, van Dullemen HM, Porte RJ. Cyst fluid analysis in the differential diagnosis of pancreatic cystic lesions: a pooled analysis. Gastrointestinal endoscopy. 2005;62(3):383-9.

Gabata T, Terayama N, Yamashiro M, et al. Solid serous cystadenoma of the pancreas: MR imaging with pathologic correlation. Abdominal imaging. 2005;30(5):605-9.