Conteúdo copiado com sucesso!

Tumor de Frantz

Voltar
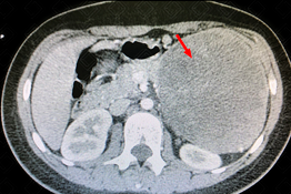
Texto alternativo para a imagem Créditos: Dra. Elazir Mota - Rio de Janeiro/RJ

Descrição da figura: Tomografia computadorizada do abdome pós-contraste evidenciando volumosa formação expansiva no corpo e cauda pancreáticos (seta vermelha), medindo 11,2 x 9,2 cm, com captação heterogênea do meio de contraste, determinando compressão do corpo gástrico e deslocamento posterior do rim esquerdo, bem como de suas veias e artérias renais.

Tumor de Frantz: Também conhecido como tumor pseudopapilar sólido (TSP), trata-se de tumor exócrino pancreático extremamente raro, respondendo por cerca de 1-2% dos tumores exócrinos no pâncreas, fazendo parte do espectro de lesões císticas pancreáticas . [cms-watermark]

Epidemiologia: Este tumor benigno tem predileção pelo sexo feminino, acometendo mulheres jovens , na 2 a e 3 a décadas de vida. Acomete, preferencialmente, corpo e cauda pancreáticos .

Quadro clínico: A maior parte das pacientes é assintomática ao diagnóstico. Em casos mais avançados, os sintomas podem ser massa palpável com sintomas compressivos, acarretando em vaga dor abdominal.

    Achados de imagem:
  • Tomografia computadorizada do abdome: Usualmente demonstra uma lesão bem definida, encapsulada, com variável componente sólido-cístico, podendo existir algumas áreas de degeneração hemorrágica (figura acima);
  • Ressonância magnética do abdome: Exame de escolha para avaliação de lesões císticas pancreáticas, como já dito em outros tópicos, por apresentar boa diferenciação tecidual. Na RM, lesão pode apresentar alto sinal em T1 pela degeneração hemorrágica, sua cápsula espessa apresenta marcado hipossinal em T2 e o seu componente sólido tem captação tardia pelo meio de contraste.

Autor(a) principal: Elazir Mota (Radiologia, especialista em Radiologia Pediátrica).

Kosmahl M, Seada LS, Janig U, et al. Solid-pseudopapillary tumor of the pancreas: its origin revisited. Virchows Arch 2000; 436:473-480.

Kehagias D, Smyrniotis V, Gouliamos A, et al. Cystic pancreatic neoplasms: computed tomography and magnetic resonance imaging findings. Int J Pancreatol 2000; 28:223-230.

Lee DH, Yi BH, Lim JW, et al. Sonographic findings of solid and papillary epithelial neoplasm of the pancreas. J Ultrasound Med 2001; 20:1229-1232.