Conteúdo copiado com sucesso!

Ureterocele

Voltar
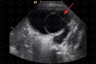
Texto alternativo para a imagem Figura 1. Créditos: Dra. Elazir Mota - Rio de Janeiro/RJ

Descrição da figura 1: Imagem arredondada, anecoica, sem fluxo ao Doppler colorido, na topografia do óstio ureterovesical esquerdo, compatível com ureterocele (seta vermelha).

Texto alternativo para a imagem Figura 2. Créditos: Dra. Elazir Mota - Rio de Janeiro/RJ

Descrição da figura 2: Uretrocistografia miccional, estudo durante a fase de enchimento vesical. A ureterocele pode ser visualizada neste exame como falha de enchimento no interior da bexiga (seta amarela).

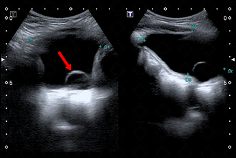
Texto alternativo para a imagem Figura 3. Créditos: Dra. Elazir Mota - Rio de Janeiro/RJ
Texto alternativo para a imagem Figura 4. Créditos: Dra. Elazir Mota - Rio de Janeiro/RJ

Descrição das figuras 3 e 4: Ureterocele no assoalho vesical à esquerda (seta vermelha). Na foto de baixo, observamos que ela está relacionada à duplicidade pieloureteral completa, com pólo superior do rim esquerdo displásico.

Ureterocele: O corre devido à obstrução do óstio ureterovesical mal posicionado. Isso acarreta a dilatação da porção ureteral imediatamente após a obstrução. A ureterocele pode estar associada à duplicidade pieloureteal completa (assunto que será discutido em outro tópico) ou pode tratar-se de uma ureterocele simples, devido à estenose congênita ou inflamatória.

Quadro clínico : Na maioria dos casos é descoberta ainda na infância, sendo comum as infecções do trato urinário, estando associada ou não a processos obstrutivos, podendo acarretar displasias ou cicatrizes renais.

As ureteroceles são divididas em simples (sendo mais comum no sexo masculino ) ou aquelas relacionadas ao sistema duplicado (mais comum no sexo feminino ).

    Achados de imagem:
  • Ultrassonografia do aparelho urinário: Imagem arredondada, anecoica, sem fluxo ao Doppler colorido na topografia do óstio ureterovesical acometido, melhor avaliada na fase de enchimento vesical. Atenção! Quando a bexiga estiver muito repleta, a ureterocele pode estar colabada e não ser visualizada (figuras 1, 3 e 4);
  • Tomografia computadorizada do abdome: Não deve ser solicitada para avaliação de ureterocele. Primeiro, por ser um exame que expõe a criança a altas doses de radiação ionizante e, também, por não fornecer dados anatômicos tão precisos quanto a ultrassonografia ou uroressonância magnética;
  • Uroressonância magnética: Trata-se de um método promissor que permite avaliação funcional e anatômica do trato urinário na criança, já sendo muito usado nos EUA e na Europa. No Brasil, são poucos os lugares que realizam o método na população pediátrica devido à necessidade de sedação e radiologista pediátrico experiente para interpretação das imagens. Como esse exame permite uma excepcional avaliação anatômica, a ureterocele também pode ser visualizada como imagem hiperintensa em T2;
  • Uretrocistografia miccional: Exame de escolha para avaliação e graduação do refluxo vesicoureteral na população pediátrica. A ureterocele pode ser visualizada nesse exame como falha de enchimento no interior da bexiga. Em geral, também melhor visualizada na fase de enchimento vesical (figura 2).

Diagnósticos diferenciais: D ivertículo de bexiga.

Autoria principal: Elazir Mota (Radiologia, especialista em Radiologia Pediátrica).

Dähnert W. Radiology review manual. 7th edition. Philadelphia, PA: Lippincott Williams & Wilkins, 2011.

Shamsa A, Asadpour AA, Abolbashari M, et al. Bilateral simple orthotopic ureteroceles with bilateral stones in an adult: a case report and review of literature. Urology journal. 2010; 7(3):209-11.

Berrocal T, López-pereira P, Arjonilla A, et al. Anomalies of the distal ureter, bladder, and urethra in children: embryologic, radiologic, and pathologic features. Radiographics. 2002; 22(5):1139-64.

Zerin JM, Baker DR, Casale JA. Single-system ureteroceles in infants and children: imaging features. Pediatr Radiol. 2000; 30(3):139-46.

Williams DI, Lillie JG. The functional radiology of ectopic ureterocele. Br J Urol. 1972; 44(4):417-33.