Conteúdo copiado com sucesso!

Ureterolitíase

Voltar
Texto alternativo para a imagem
Texto alternativo para a imagem
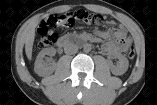
Texto alternativo para a imagem Figuras 1, 2 e 3. Créditos: Elazir Mota - Rio de Janeiro/RJ

Descrição das figuras 1, 2 e 3: Tomografia computadorizada sem contraste do abdome evidenciando cálculo (setas brancas) no terço médio do ureter direito, medindo cerca de 0,4 cm e com densidade de 723 UH (é importante fornecer a densidade do cálculo para inferirmos a composição do mesmo). Observa-se ainda pequena dilatação do ureter a montante (seta vermelha).

Texto alternativo para a imagem
Texto alternativo para a imagem Figuras 4 e 5. Créditos: Elazir Mota - Rio de Janeiro/RJ

Descrição das figuras 4 e 5: Ultrassonografia das vias urinárias. No terço distal do ureter direito, no óstio ureterovesical, observa-se imagem ecogênica, com sombra acústica posterior (seta branca), compatível com cálculo, medindo 0,5 cm.

Ureterolitíase : Presença de cálculo no ureter, ao longo do seu trajeto. A idade dos pacientes de maior acometimento varia de 30 a 60 anos. O principal tipo de cálculo é o de oxalato de cálcio.

Quadro clínico: Q uando o cálculo atinge os ureteres, paciente passa a referir dor abdominal intensa, paroxística, em cólica, com outros sinais associados como hematúria. Pode ocorrer dilatação do sistema coletor a montante e processo infeccioso associado, levando a um quadro de pielonefrite, com relato de febre pelo paciente.

    Exames de imagem: O principal sinal diagnóstico de ureterolitíase nos exames de imagem é a visualização do cálculo no interior do ureter. Existem, no entanto, outros achados de imagem secundários e que sugerem a existência do cálculo. São eles: dilatação ureteral e/ ou do sistema coletor unilateral, densificação dos planos adiposos perirrenais, líquido perirrenal e nefromegalia.
  • Tomografia computadorizada do abdome total: Tomografia computadorizada do abdome sem contraste é o exame de escolha para avaliação de cálculo ureteral em adultos e idosos;
  • Ultrassonografia das vias urinárias: Muito útil em mãos treinadas, ou seja, um médico radiologista experiente, onde observa-se imagem ecogênica com forte sombra acústica posterior no interior do ureter. Muito utilizado na população pediátrica e nas gestantes;
  • Radiografia de abdome AP: Não deve mais ser solicitado nos dias atuais para pesquisa de ureterolitíase pela sua baixa sensibilidade.

Diagnósticos diferenciais: O utras causas de dor abdominal, facilmente diferenciadas durante o estudo por imagem e exame clínico, dentre elas: colelitíase, pancreatite aguda, apendicite aguda e diverticulite.

Autoria principal: Elazir Mota (Radiologia, especialista em Radiologia Pediátrica).

Murray N, Darras KE, Walstra FE, et al. Dual-Energy CT in Evaluation of the Acute Abdomen. Radiographics. 2019; 39(1):264-286.

Sheafor DH, Hertzberg BS, Freed KS, et al. Nonenhanced helical CT and US in the emergency evaluation of patients with renal colic: prospective comparison. Radiology. 2000; 217:792-7.

Tamm EP, Silverman PM, Shuman WP. Evaluation of the patient with flank pain and possible ureteral calculus. Radiology. 2003; 228 (2): 319-29.

Boridy IC, Nikolaidis P, Kawashima A, et al. Ureterolithiasis: value of the tail sign in differentiating phleboliths from ureteral calculi at nonenhanced helical CT. Radiology. 1999; 211:619-21.

Young VB, Kormos WA, Chick DA, et al. Blueprints Medicine. 5th ed. Philadelphia: Lippincott Williams & Wilkins, 2009.