Conteúdo copiado com sucesso!

Vesícula em Porcelana

Voltar
Texto alternativo para a imagem
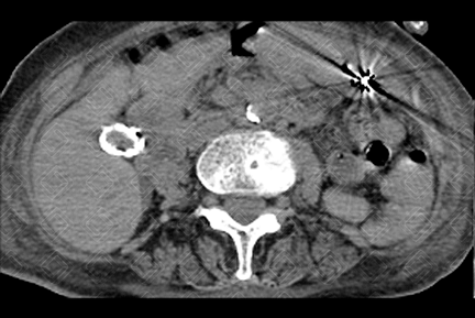
Texto alternativo para a imagem Figuras 1 e 2. Créditos: Dra. Elazir Mota - Rio de Janeiro/RJ

Descrição das figuras 1 e 2: Tomografia computadorizada de abdome evidenciando calcificação grosseira e concêntrica, envolvendo a parede da vesícula biliar (seta vermelha), caracterizando a clássica vesícula em porcelana.

Vesícula em porcelana: Variante rara de colecistopatia crônica, caracterizada pela calcificação grosseira envolvendo total, ou parcialmente, a parede da vesícula biliar.

Epidemiologia: M ais frequente no sexo feminino (razão de 5:1), com predomínio nos pacientes nas quintas e sextas décadas de vida.

Quadro clínico: Maioria dos pacientes são assintomáticos. Sendo assim, em geral, trata-se de achado de imagem.

    Exames de imagem:
  • Radiografia convencional e tomografia computadorizada do abdome: As imagens são semelhantes, com a presença de halo de mineralização envolvendo a parede da vesícula biliar ( figuras acima );
  • Ultrassonografia de abdome: P r esença de focos ecogênicos e sombra acústica posterior, mal definida, junto da parede vesicular. A vesícula biliar costuma ser de difícil visualização na ultrassonografia nestes casos;
  • Ressonância magnética do abdome: A val iação prejudicada por este método devido a presença de calcificações parietais.

Diagnósticos diferenciais: C olelitíase (cálculos no interior da vesícula biliar), colecistite enfisematosa, pneumobilia.

Autoria principal: Elazir Mota (Radiologia, especialista em Radiologia Pediátrica).

Jones MW, Weir CB, Ferguson T. Porcelain Gallbladder. [Internet]. StatPearls. Treasure Island, FL: StatPearls Publishing. (Accessed on March 21, 2024).

Patel NJ, Caserta MP, DiSantis DJ. Porcelain gallbladder. Abdom Radiol (NY). 2017; 42(1):322-323.

Sebastian S, Araujo C, Neitlich J, et al. Managing Incidental Findings on Abdominal and Pelvic CT and MRI, Part 4: White Paper of the ACR Incidental Findings Committee II on Gallbladder and Biliary Findings. J Am Coll Radiol. 2013; 10(12):953-6.

Saini S, Rubin GD, Kalra MK. MDCT: a practical approach. New York: Springer, 2006.

Grand D, Horton KM, Fishman EK, et al. CT of the gallbladder: spectrum of disease. AJR Am J Roentgenol. 2004; 183(1):163-70.