Conteúdo copiado com sucesso!

Zika (Infantil)

Voltar
Texto alternativo para a imagem
Texto alternativo para a imagem
Texto alternativo para a imagem
Texto alternativo para a imagem Créditos: Dra. Elazir Mota - Rio de Janeiro/RJ
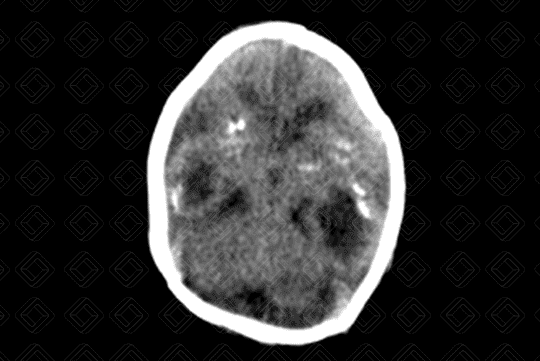
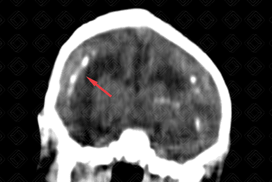
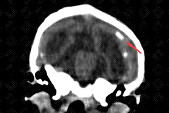
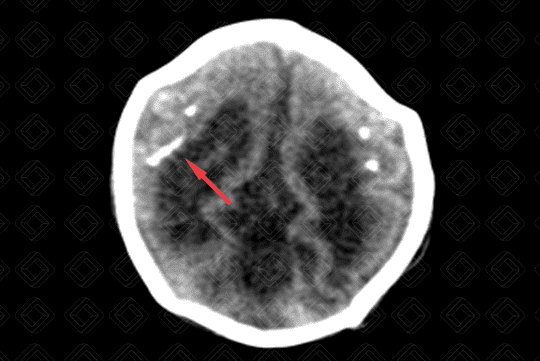
    Descrição das imagens:
  • Tomografia computadorizada do crânio evidenciando microcefalia, com importante atrofia cortical e dilatação compensatória do sistema ventricular;
  • Observa-se a presença de calcificações de distribuição corticossubcortical (setas vermelhas) no parênquima encefálico e algumas menos evidentes, nos núcleos da base;
  • Na última imagem, reconstrução tridimensional (3D) do mesmo paciente confirma a microcefalia e evidencia o cavalgamento das suturas coronais e a perda do ângulo frontonasal.

Zika vírus: T rata-se de um arbovírus composto de RNA da família Flaviviridae (gênero Flavivirus), que é a mesma família que inclui o vírus da dengue e chikungunya. A transmissão é feita pelo mosquito Aedes e mostra potencial associação com complicações neurológicas e autoimunes, como microcefalia congênita, distúrbio da paralisia do adulto e síndrome de Guillain-Barré.

Quadro clínico: Alguns bebês expostos ao zika vírus na gestação, evoluíram no período pós-natal, com bastante gravidade variando desde a morte fetal até várias anomalias congênitas, tais como pele redundante na nuca com proeminência do osso occipital, baixo peso, anasarca, artrogripose, perda auditiva, polidrâmnio e malformações oculares e do SNC.

    Exames de imagem:
  • Ultrassonografia transfontanela: O primeiro exame de imagem no recém-nascido diante da suspeita de infecção congênita é a ultrassonografia transfontanela. Se durante esse exame for observada a presença de calcificações, o estudo deve ser complementado com tomografia computadorizada do crânio para melhor avaliação do padrão das calcificações;
  • Tomografia computadoriza do crânio : No zika vírus, alguns achados tomográficos podem auxiliar a confirmar a suspeição clínica, como: microcefalia; protuberância de pele na região occipital externa; redução do ângulo frontonasal; excesso de pele na região occipital; cavalgamento de suturas; fechamento precoce da fontanela anterior; distúrbio de migração neuronal; atrofia cerebral difusa; calcificações. Padrão das calcificações: costumam distribuir-se na transição do córtex com a substância branca (região corticossubcortical) e, menos comumente, nos núcleos da base e tálamos;
  • Ressonância magnética do crânio: A lguns achados semelhantes à tomografia do crânio, como microcefalia, cavalgamento de suturas, proeminência de pele na região occipital externa. Em 94-100% comumente, observa-se agiria/paquigiria, com graus variáveis de gravidade no desenvolvimento cortical. Em suma, a ressonância é superior na caracterização nas anomalias do desenvolvimento cortical e do corpo caloso.

Diagnóstico diferencial: O utras infecções congênitas, como toxoplasmose , citomegalovírus, herpes vírus e outras.

Autoria principal: Elazir Mota (Radiologia, especialista em Radiologia Pediátrica).

Teixeira SR, Elias Jr J, Coutinho CM, et al. Cranial US in Infants Exposed to Zika Virus: The NATZIG Cohort. Radiology. 2021; 300(3):690-698.

Ribeiro BG, Werner H, Lopes FPPL, et al. Central Nervous System Effects of Intrauterine Zika Virus Infection: A Pictorial Review. RadioGraphics. 2017; 37:1840-1850.

Duarte G, Moron AF, Timerman A, et al. Zika virus infection in pregnant women and microcephaly. Rev Bras Ginecol Obstet. 2017; 39:235–48.

Chimelli L, Melo ASO, Avvad-Portari E, et al. The spectrum of neuropathological changes associated with congenital Zika virus infection. Acta Neuropathol (Berl). 2017; 133(6):983-999.

Aragao MFV, van der Linden V, Brainer-Lima AM, et al. Clinical features and neuroimaging (CT and MRI) findings in presumed Zika virus related congenital infection and microcephaly: retrospective case series study. BMJ. 2016; 353i1901.