' Punção Jugular Guiada (USG) - Prescrição
Conteúdo copiado com sucesso!

Punção Jugular Guiada (USG)

Voltar

Definição: É o uso da ultrassonografia (USG) como ferramenta para guiar a progressão de uma agulha para acesso venoso central em direção à veia jugular interna sob visão contínua.

Atualmente, o procedimento guiado por USG é considerado a técnica padrão ouro de punção jugular, fundamental para reconhecer variações anatômicas e minimizar o risco de complicações, como punção arterial inadvertida e pneumotórax, além de auxiliar em casos complexos, como pacientes obesos, idosos e, principalmente, aqueles com caquexia.

    Em comparação com o procedimento sem uso de USG, apresenta alguns benefícios, como:
  • Maior taxa de sucesso na primeira tentativa;
  • Menor número de perfurações da pele e redirecionamento;
  • Menor tempo total de procedimento;
  • Menor risco relativo de punções arteriais, hematomas locais, pneumotórax e hemotórax.

O uso da USG permite ao operador avaliar a patência da veia jugular interna e alterações anatômicas relevantes previamente ao procedimento.

A punção venosa é plenamente executada utilizando-se apenas [cms-watermark] o modo bidimensional (modo B) do equipamento de ultrassonografia.

  • Incluem todas as indicações já conhecidas para acesso venoso central sem USG;
  • Técnica padrão ouro para a realização de punção jugular à beira do leito;
  • Deve ser a técnica priorizada [cms-watermark] [cms-watermark] em pacientes com anatomia complexa (ex.: pescoço curto), obesos e idosos.
  • Trombose da veia jugular a ser puncionada;
  • Sinais de celulite do sítio de punção;
  • Plaquetas < 20.000/m³;
  • INR > 2-3.
  • Clorexidina degermante;
  • Clorexidina alcoólica;
  • Capa estéril para USG;
  • Luvas estéreis;
  • Capote estéril;
  • Gorro e máscara;
  • Campos estéreis;
  • Gazes e compressas estéreis;
  • Pinça cirúrgica para degermação;
  • Porta-agulha;
  • Bandeja e cuba rim;
  • Soro fisiológico 0,9% (100-500 mL);
  • Seringas de 10 mL e 20 mL;
  • Anestésico local (Lidocaína 1% ou 2% sem vasoconstritor);
  • Agulhas para anestesia local;
  • Kit de cateter venoso central contendo:
    • Agulha de punção 18 G;
    • Fio-guia;
    • Dilatador;
    • Cateter venoso central (mono, duplo ou triplo lúmen);
    • Anteparos de fixação.
  • Fio de sutura (mononáilon 2-0 ou 3-0);
  • Curativo.

A veia jugular interna deixa o crânio pelo forame jugular e desce pelo pescoço lateralmente à carótida comum na maioria dos casos.

Texto alternativo para a imagem Figura 1. Localização da veia jugular interna.

Ao nível da articulação esternoclavicular, junta-se com a veia subclávia para formar a veia braquiocefálica.

Considerando-se a ausência de estruturas ósseas em seu trajeto, é uma veia ideal para punção guiada por USG.

Técnica com Uso de USG

1. Uso do transdutor linear (alta frequência, 7-12 MHz).

2. Explicar ao paciente o procedimento a ser realizado. [cms-watermark]

3. Posicionamento adequado do paciente, considerando-se o lado a ser puncionado.

4. USG pré-procedimento para visualização anatômica e planejamento (Figura 2).

Texto alternativo para a imagem Figura 2. USG pré-procedimento evidenciando carótida comum direita (estrela azul) e veia jugular interna direita (estrela amarela). Créditos: Dr. Igor Biscotto - Rio de Janeiro/RJ.

5. Observar a equivalência entre o lado examinado e o lado exibido na tela.

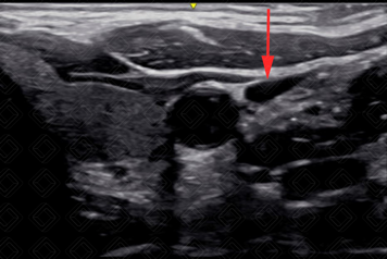
6. Avaliar compressibilidade do vaso (diferenciar artéria de veia) (Figura 3).

Texto alternativo para a imagem Figura 3. Veia jugular interna após compressão com transdutor (seta vermelha). Créditos: Dr. Igor Biscotto - Rio de Janeiro/RJ.

7. Observar a profundidade do vaso com relação à pele na imagem.

8. Atentar para estruturas adjacentes (carótida, tireoide, linfonodos e pleura). [cms-watermark]

9. Verificar se há trombo ou estenose no vaso (contraindicação no sítio escolhido).

10. A critério, avaliar fluxo ao Doppler colorido (Figura 4). [cms-watermark]

Texto alternativo para a imagem Figura 4. Carótida e veia jugular ao Doppler colorido. Créditos: Dr. Igor Biscotto - Rio de Janeiro/RJ.

11. Assepsia e antissepsia locais.

12. Colocação de campos estéreis. [cms-watermark]

13. Cobrir o transdutor do USG com capa estéril. [cms-watermark]

14. Anestesia local no sítio desejado, de preferência sob ultrassonografia. [cms-watermark]

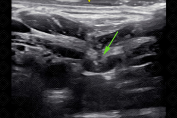
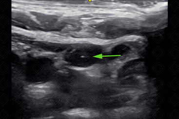
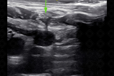
15. Punção guiada por técnica transversal (fora de plano) utilizando-se agulha 18 G (Figuras 5 a 8). [cms-watermark]

Texto alternativo para a imagem Figura 5. Punção guiada por USG da veia jugular direita por técnica transversal (fora de plano). Créditos: Dr. Igor Biscotto - Rio de Janeiro/RJ.
Texto alternativo para a imagem Figura 6. Visualização da agulha no subcutâneo em direção á veia jugular interna direita (técnica transversal). Créditos: Dr. Igor Biscotto - Rio de Janeiro/RJ.
Texto alternativo para a imagem Figura 7. Visualização da agulha no momento em que penetra a parede interior da veia (seta verde). Créditos: Dr. Igor Biscotto - Rio de Janeiro/RJ.
Texto alternativo para a imagem Figura 8. Visualização da agulha no interior da veia jugular interna direita (seta verde). Créditos: Dr. Igor Biscotto - Rio de Janeiro/RJ.

16. Aspirar sangue confirmando posicionamento da agulha dentro do vaso.

17. Passagem do fio-guia e demais passos igualmente ao procedimento não guiado. Para mais informações, acesse Cateterização Venosa Central (de Curta Permanência).

18. Checar com o ultrassom o posicionamento adequado do fio-guia intravascular antes de iniciar a dilatação e a passagem do cateter venoso central.

19. Após o procedimento, pode-se realizar infusão rápida de solução salina agitada para confirmar adequado posicionamento do cateter na transição cavoatrial – sinal do redemoinho do átrio direito ( right atrial swirl sign ) ou sinal das bolhas de ar.

20. É possível realizar USG direcionada do tórax para avaliar ausência de pneumotórax mediante a detecção do deslizamento pulmonar bilateral após a inserção do CVC na veia jugular. [cms-watermark]

  • Necessidade de um aparelho de USG no serviço;
  • Exige experiência e qualificação técnica do operador.
    As principais complicações incluem:
  • Punção arterial inadvertida;
  • Pneumotórax;
  • Hematoma;
  • Hemotórax.

Observação! O uso da ultrassonografia reduz os riscos associados à punção da veia jugular interna quando realizado por profissional capacitado.

Autoria principal: Gabriel Pietrobon Martins (Medicina de Emergência). [cms-watermark]

Revisão: Yuri de Albuquerque (Medicina Intensiva). [cms-watermark]

    Equipe adjunta:
  • Rafael Arruda Alves (Emergencista com especialidade em Emergência Pediátrica e Medicina Intensiva);
  • Vinicius Zofoli (Terapia Intensiva).

Soares PR, Maia A, Fernandes JR, et al. Point-of-Care Ultrasound Protocol for Insertion and Confirmation of Central Venous Catheter Placement. Cureus. 2022; 14(9):e29259.

Adhikari S, Blaivas M. The Ultimate Guide To Point-Of-Care Ultrasound-Guided Procedures. 1st ed. Philadelphia: Springer, 2020.

Almeida CES. Acesso Vascular: O Impacto da Ultrassonografia. Revista do Hospital Israelita Albert Einstein. 2016; 14(4):561-566.

American Institute of Ultrasound in Medicine Practice Parameter for the Use of Ultrasound to Guide Vascular Access Procedures. Journal of Ultrasound in Medicine. 2019; 38(3):E4-E18.

Butcher CH, Aziz S. Orientação Ultrassonográfica para Procedimentos Comuns. In: Levitov AB, Dallas AP, Slonim AD. Ultrassonografia à Beira do Leito na Medicina Clínica. Porto Alegre: Artmed, 2013.

Franco-Sadud R, Schnobrich D, Mathews BK, et al. Recommendations on the Use of Ultrasound Guidance for Central and Peripheral Vascular Access in Adults: A Position Statement of the Society of Hospital Medicine. Journal of Hospital Medicine. Society of Hospital Medicine. 2019; 14(9):E1-E22.

Pellegrinim JA, Mendes PV, Costa Filho RC, et al. Acesso Vascular Guiado por Ultrassom. In: Assunção, MSC. Ecografia em Terapia Intensiva e na Medicina de Urgência. 1a ed. Rio de Janeiro: Atheneu, 2019.