' Radiografia de Cotovelo - Prescrição
Conteúdo copiado com sucesso!

Radiografia de Cotovelo

Voltar

Definição: A radiografia de cotovelo é exame comumente solicitado, bastante desafiador para o radiologista ou o ortopedista quando avaliam a imagem.

Sinônimos: Radiografia do cotovelo; RX do cotovelo.

Radiografia do cotovelo D ou E ou ambos em AP e perfil. Escrever uma adequada indicação clínica para adequada avaliação pelo radiologista.

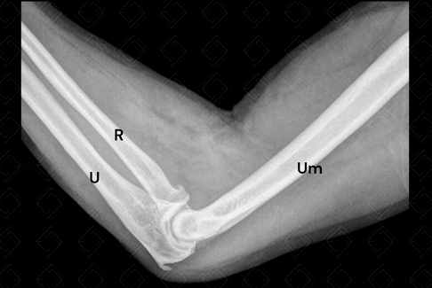
Texto alternativo para a imagem Radiografia de cotovelo, estudo em perfil. Créditos: Athena Hub/Medical Harbour

Legenda das siglas: R = rádio; U = ulna; Um = úmero.

Trauma, dor no cotovelo, suspeita de fraturas na porção proximal do rádio ou ulna, suspeita de fratura do úmero distal (fratura supracondilar), deslocamento da cabeça do rádio, detecção de derrames articulares, deformidades ósseas e artrite/artrose.

Estudo em AP e perfil . O estudo em AP permite adequada avaliação dos centros de ossificação (centro de ossificação do epicôndilo medial e lateral, da tróclea, do capítulo e da cabeça do rádio) e o estudo em perfil permite adequada avaliação do centro de ossificação do olécrano, bem como a avaliação das linhas de gordura, descritas posteriormente.

Avaliar o alinhamento ósseo: Usamos como base a face anterior da diáfise umeral e sua relação com o capítulo. A linha traçada tem que passar no meio do capítulo. Além disso, traçamos uma outra linha horizontal entre o colo do rádio, que também deve atravessar o meio do capítulo.

Linhas de gordura: No cotovelo existem duas linhas de gordura : uma anterior, que deve ser visualizada no exame normal, mas deve estar "colada" no osso, e outra posterior , que usualmente não deve ser visualizada, exceto nos casos patológicos em que estejam presentes derrames. Sua presença, na população pediátrica em especial, deve levar à busca exaustiva por fraturas associadas.

Centros de ossificação: Essa avaliação é especialmente importante na população pediátrica, e não pode ser confundida com fraturas. Usamos o mnemônico CRITOE (capítulo, epífise do rádio, epicôndilo medial, tróclea, olécrano e, por fim, epicôndilo lateral).

Não é necessário preparo.

Exame rápido, barato e com boa acessibilidade.

Exposição à radiação ionizante, sendo um exame contraindicado nas gestantes.

Pacientes gestantes ou com suspeita de gravidez idealmente não devem realizar o exame, exceto em casos selecionados.

Autoria principal: Elazir Mota (Radiologia, especialista em Radiologia Pediátrica).

    Equipe adjunta:
  • Rafael Erthal de Paula (Ortopedia, Traumatologia e Cirurgia do Joelho);

Cox TD, Sonin A. Elbow and forearm injuries in children. In: Radiology of skeletal trauma. 3th ed. New York: Churchill Livingstone, 2002.

Pediatric Elbow fractures in Wheeless on line textbook on Orthopaedics. A site with detailed information on fractures and therapy. [Internet]. (Accessed on August 28, 2022).

Yamaguchi K, Sweet FA, Bindra R, et al. The extraosseous and intraosseous arterial anatomy of the adult elbow. J Cirurgia da Articulação Óssea.1997; 79(11):1653-62.

Tubbs RS, Shoja MM, Khaki AA, et al. The morphology and function of the quadrate ligament. Folia Morphol (Warsz). 2006; 65 (3): 225-7.

Beaty JH, Azar FM. Campbell's operative orthopaedics. 14th ed. Philadelphia: Saunders, 2020.

Greenspan A, Beltran J. Orthopedic imaging: a practical approach. 7th ed. Philadelphia: Lippincott Williams & Wilkins, 2020.

Hebert S, Xavier R, Pardini Jr AG, et al. Ortopedia e traumatologia: princípios e prática. 5a ed. Porto Alegre: Artmed, 2017.