' Radiografia de Pé - Prescrição
Conteúdo copiado com sucesso!

Radiografia de Pé

Voltar

Definição: Muito usado nos dias de hoje para avaliação de dores no pé, especialmente as pós-traumáticas.

Sinônimo: Radiografia do pé (esquerdo, direito ou ambos); radiografia dos pés; RX dos pés.

Radiografia do pé (s) AP, perfil e oblíquo: Sempre especificar a lateralidade e, claro, colocar uma boa indicação clínica, explicando a história do paciente.

Traumas esportivos, traumas relacionados a acidentes automobilísticos ou quedas, dores articulares, dores na borda lateral do pé, avaliação inicial de osteomielite, artrite ou lesões ósseas.

As principais são: AP (avaliação adequadamente os metatarsos), oblíqua medial (trata-se de uma incidência AP, mas com angulação medial do pé em 30-40 graus/melhor incidência para avaliação do tálus) e perfil .

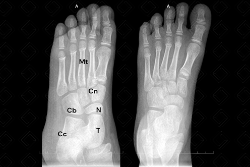
Texto alternativo para a imagem Créditos: Athena Hub/Medical Harbour

Descrição da figura: Radiografia do pé em AP e médio oblíquo evidenciando as falanges distais, proximais e médias, metatarsos (Mt), cuboide (Cb), cuneiformes (Cn), navicular (N), tálus (T) e calcâneo (Cc).

    Incidências adicionais:
  • AP e perfil com carga: Útil para avaliação de deformidades como o hálux valgo;
  • Incidência de Canale (máxima flexão plantar do tornozelo, 15° de inversão do pé): Útil para adequada avaliação do tálus, especialmente nas suspeitas de fratura.

Nenhum preparo é necessário.

Exame rápido, barato e boa acessibilidade.

Pacientes gestantes confirmadas ou suspeitas não devem realizar o exame pela exposição à radiação ionizante.

Não há.

Autoria principal: Elazir Mota (Radiologia, especialista em Radiologia Pediátrica).

    Equipe adjunta:
  • Rafael Erthal de Paula (Ortopedia, Traumatologia e Cirurgia do Joelho);
  • Igor Biscotto (Radiologia Intervencionista e Cirurgia Endovascular).

Resnick DL. Diagnosis of bone and joint disorders. 4th ed. Philadelphia: Saunders, 2002.

Slatyer MA, Hensley MJ, Lopert R. A randomized controlled trial of piroxicam in the management of acute ankle sprain in Australian Regular Army recruits. The Kapooka Ankle Sprain Study. Am J Sports Med. 1997; 25(4):544-53.

Polzer H, Kanz KG, Prall WC, et al. Diagnosis and treatment of acute ankle injuries: development of an evidence-based algorithm. Orthop Rev (Pavia). 2012; 4(1):e5.

Sammarco GJ, DiRaimondo CV. Surgical treatment of lateral ankle instability syndrome. Am J Sports Med. 1988; 16(5):501-11.

Stiell I, Wells G, Laupacis A, et al. Multicentre trial to introduce the Ottawa ankle rules for use of radiography in acute ankle injuries. Multicentre Ankle Rule Study Group. BMJ. 1995; 311 (7005):594-7.

Hebert S, Xavier R, Pardini Jr AG, et al. Ortopedia e traumatologia: princípios e prática. 5a ed. Porto Alegre: Artmed, 2017.

Tornetta P, Ricci W, Court-Brown CM, et al. Rockwood & Green Fractures in Adults. 9th ed. Philadelphia: Lippincott Williams & Wilkins, 2019.