' Radiografia de Perna - Prescrição
Conteúdo copiado com sucesso!

Radiografia de Perna

Voltar

Definição: A radiografia da perna é um exame muito utilizado nos dias atuais, especialmente no contexto do trauma. Em alguns casos, como na investigação de doenças metabólicas em crianças ou para rastreio de lesões em pacientes oncológicos, são realizadas radiografias dos dois membros inferiores para adequado inventário radiológico.

Sinônimo: Radiografia da(s) perna(s); RX da(s) perna(s) .

Radiografia da perna direita/esquerda AP e perfil.

Trauma, acompanhamento evolutivo de fraturas (avaliação de formação de calo ósseo), avaliação de lesões ósseas nos pacientes pediátricos, rastreio de doenças metabólicas com acometimento ósseo, rastreio de lesões metastáticas suspeitas.

Nenhum preparo é necessário.

O paciente primeiro realiza a radiografia em AP, deitado em decúbito dorsal na mesa de RX. Depois, realiza a radiografia em perfil, devendo estar em perfil absoluto.

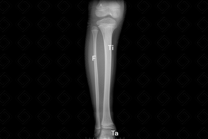
Texto alternativo para a imagem Radiografia da perna direita AP. Créditos: Athena Hub/Medical Harbour
Texto alternativo para a imagem Radiografia da perna direita perfil. Créditos: Athena Hub/Medical Harbour

Legenda: F = fíbula; P = patela; Ta = tálus; Ti = tíbia.

Exame rápido, barato e de boa acessibilidade.

Pacientes grávidas - contraindicado exposição à radiação ionizante.

As angulações das superfícies articulares e o comprimento ósseo podem ser registrados, sendo essas avaliações úteis para o estudo das deformidades ósseas.

Autoria principal: Elazir Mota (Radiologia, especialista em Radiologia Pediátrica).

    Equipe adjunta:
  • Rafael Erthal de Paula (Ortopedia, Traumatologia e Cirurgia do Joelho);
  • Igor Biscotto (Radiologia Intervencionista e Cirurgia Endovascular).

Ozonoff MB. Pediatric orthopaedic radiology. Philadelphia: Saunders, 1992.

Zaleske DJ. Metabolic and endocrine abnormalities. In: Morrissy RT, Weinstein SL. Lovell and Winter’s pediatric orthopaedics. Vol II. 4th ed. Philadelphia: Lippincott-Raven; 1996. 137-201.

Ablin DS. Osteogenesis imperfecta: a review. Can Assoc Radiol J. 1998; 49:110–123.

Machen MS, Stevens PM. Should full-length standing anteroposterior radiographs replace the scanogram for measurement of limb length discrepancy? J Pediatr Orthop B. 2005; 14(1):30-7.

Beaty JH, Azar FM. Campbell's operative orthopaedics. 14th ed. Philadelphia: Saunders, 2020.

Hebert S, Xavier R, Pardini Jr AG, et al. Ortopedia e traumatologia: princípios e prática. 5a ed. Porto Alegre: Artmed, 2017.

Tornetta P, Ricci W, Court-Brown CM, et al. Rockwood & Green Fractures in Adults. 9th ed. Philadelphia: Lippincott Williams & Wilkins, 2019.