' Radiografia do Quadril - Prescrição
Conteúdo copiado com sucesso!

Radiografia do Quadril

Voltar

Definição: Imagem radiográfica da articulação coxofemoral. A radiografia de quadril ainda é um exame bastante utilizado para avaliação das condições que afetam esta articulação.

Sinônimos: RX quadril, radiografia de quadril, radiografia da articulação coxofemoral.

Radiografia de quadril unilateral ou bilateral em AP. Escrever a indicação clínica também é essencial para a adequada análise pelo médico radiologista.

Trauma, dor aguda ou crônica, artroses/artrites (avaliação), dor no joelho (muitas vezes, a causa podem ser alterações no quadril), incapacidade de suportar/apoiar o peso no lado afetado, claudicação, avaliação inicial do impacto femoroacetabular.

Rotina básica inclui radiografia em AP e perfil do quadril a ser estudado. Em alguns casos, pode e deve ser complementado com estudo da bacia em AP ou de incidências específicas, tais como o falso perfil de Lequesne, os perfis de Ducroquet, de Dunn, Lauestein e cross-table (Arcelin)

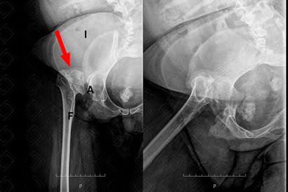
Texto alternativo para a imagem Legenda: A = acetábulo; F = fêmur; I = ilíaco.
Créditos: Athena Hub/Medical Harbour

Descrição da figura: Radiografia do quadril direito estudo em AP e Lowenstein. Observa-se importante deslocamento superior e lateral da cabeça femoral direita que não articula mais com a cavidade acetabular (seta vermelha).

Nenhum preparo é necessário.

Incidência de falso perfil de Lequesne: Avalia adequadamente a morfologia acetabular e os espaços articulares anterior e posterior. Muito usado nas suspeitas de osteoartrites.

Realizada com o paciente em ortostase, com o dorso inclinado 65° anteriormente em relação ao chassi do filme, mantendo ambos os membros inferiores em rotação externa, com o lado a ser avaliado posicionado mais distante e perpendicular com relação ao filme, e com o contralateral paralelo ao chassi.

Incidência bilateral do quadril Lowenstein (posição da rã): Avalia adequadamente a cabeça femoral e torna-se interessante a avaliação contralateral. Muito usado nos pacientes com suspeita de displasia do quadril ou doenças que cursem com acometimento da epífise femoral, como na osteonecrose. Será discutido em mais detalhes quando abordada a radiografia de quadril infantil.

Paciente em decúbito dorsal mantendo dupla abdução dos membros inferiores; raio incidindo na linha mediana, logo acima da sínfise púbica, orientado verticalmente

Incidência de Ducroquet: Nessa incidência, é possível avaliar a perda da concavidade da porção anterior da transição cabeça/colo femoral nos casos de impacto femoroacetabular do tipo CAM.

Paciente posicionado em decúbito dorsal, mantendo flexão do quadril de 90° e abdução de 45°.

Incidência cross table ou perfil cirúrgico de Arcelin: É de fundamental importância no estudo do impacto do tipo CAM, para a avaliação da porção anterior da transição cabeça/colo femoral.

Paciente em decúbito dorsal com flexão de 90° do quadril contralateral. A ampola de raios X deve ser angulada 45° cranialmente no plano horizontal, em direção à raiz da coxa (não necessita mobilização do quadril acometido, sendo ideal para pacientes traumatizados).

Incidência de Dunn: É útil na avaliação da porção anterossuperior da transição cabeça/colo femoral.

Realizada com flexão do quadril de 45° e abdução de 20°.

Exame rápido, barato e de boa acessibilidade.

Presença de radiação ionizante - devendo ser usado com cautela principalmente, nos pacientes pediátricos.

Pacientes gestantes ou com suspeita de gestação (atraso menstrual) não confirmado.

Não há.

Autoria principal: Elazir Mota (Radiologia, especialista em Radiologia Pediátrica).

    Equipe adjunta:
  • Rafael Erthal de Paula (Ortopedia, Traumatologia e Cirurgia de Joelho).

Siebelt M, Agricola R, Weinans H, et al. The role of Imaging in early OA. OARSI, editor. Osteoarthritis and Cartilage. 2014; 22:1470-1480.

Manaster BJ. From the RSNA Refresher Courses. Radiological Society of North America. Adult chronic hip pain: radiographic evaluation. Radiographics: a review publication of the Radiological Society of North America, Inc. 2000; 20(Spec No):S3-S25.

Chiamil SM, Abarca CA. Imaging of the hip: a systematic approach to the young adult hip. Muscles Ligaments Tendons J. 2016; 6(3):265-280.

Fishman EK, Magid D, Mandelbaum BR, et al. Multiplanar (MPR) imaging of the hip. Radio­graphics. 1986; 6(1):7-54.

Omoumi P, Vande Berg B. Hip imaging: normal variants and asymptomatic findings. Semin Musculoskelet Radiol. 2017; 21(5):507-517.

Greenspan A, Beltran J. Orthopedic Imaging: A Practical Approach. 7th ed. Philadelphia: Lippincott Williams & Wilkins, 2020.

Beaty JH, Azar FM. Campbell's operative orthopaedics. 14th ed. Philadelphia: Saunders, 2020.

Hebert S, Xavier R, Pardini Jr AG, et al. Ortopedia e traumatologia: princípios e prática. 5a ed. Porto Alegre: Artmed, 2017.

Tornetta P, Rockwood CA, Bucholz RW, et al. Rockwood & Green Fractures in Adults. 9th ed. Philadelphia: Lippincott Williams & Wilkins, 2019.

Polesello GC, Nakao TS, de Queiroz MC, et al. Proposal for standardization of radiographic studies on the hip and pelvis. Rev Bras Ortop. 2015; 46(6):634-642.