' Ressonância Magnética do Crânio - Prescrição
Conteúdo copiado com sucesso!

Ressonância Magnética do Crânio

Voltar

A ressonância magnética (RM) do crânio tem sido o exame mais utilizado para avaliação de patologias do sistema nervoso central (SNC) por sua boa caracterização tecidual, que permite a diferenciação da substância branca e cinzenta, bem como a perfeita caracterização de sulcos e giros. Além disso, diante de alguns protocolos adequados, permite avaliação tanto anatômica, quanto funcional do SNC.

Sinônimos: RM do crânio, ressonância do crânio, ressonância magnética do SNC, RM do SNC.

Ressonância magnética do crânio com contraste venoso. Sempre colocar a indicação, pois isso, como será discutido adiante, muda bastante o protocolo básico do exame.

São inúmeras, com uma lista extensa: AVE, epilepsia de lobo temporal, processos infecciosos e inflamatórios, avaliação e rastreio de neoplasias primárias ou lesões metastáticas, esclerose múltipla, demência, doenças metabólicas, malformações congênitas, patologias do conduto auditivo interno, doenças vasculares, doenças hipofisárias, paralisias periféricas ou centrais.

Paciente deve estar em jejum de, pelo menos, 4 horas (isso ocorre pela administração do contraste). Nos exames de crânio, é muito raro não administrarmos o contraste (só não faremos o contraste em casos de sua contraindicação , como será discutido adiante). Retirar todos os objetos de metais do corpo antes do exame e próteses removíveis, caso haja.

Paciente é colocado sobre a mesa de exame, com a respectiva bobina de crânio. Logo após, o técnico inicia a marcação do paciente e o protocolo básico do crânio. É essencial um médico radiologista na sala para orientar sobre a necessidade de sequências adicionais e acompanhar a administração do contraste venoso.

Permite visualização multiplanar do SNC; excelente diferenciação tecidual; sequências distintas permitem o diagnóstico de diferentes patologias; não usa radiação ionizante (especialmente interessante na população pediátrica).

Exame demorado (cerca de 20-40 minutos); pouco disponível (principalmente nos serviços públicos); exame complicado para pacientes claustrofóbicos; contraindicado em pacientes portadores de próteses metálicas.

Contraindicações relacionadas com o aparelho (magneto): Algumas são absolutas, como marca-passos, desfibriladores implantáveis, corpo estranho metálico intraocular, neuroestimuladores implantáveis, implante coclear tipo BAHA (paciente nestes casos só poderá realizar a RM, após retirada da bateria do implante), bombas infusoras de drogas (bombas de quimioterapia, insulina ou drogas analgésicas – se possível, devem ser removidas), cateteres com componente metálico (ex.: cateter de Swan-Ganz), fragmentos metálicos (como estilhaços ou PAAF), clipes de aneurisma, implantes de membros ou aparelhos auditivos, piercing .

Contraindicações ao gadolínio: Nestes pacientes, deve ser avaliado caso a caso a real necessidade de injeção do contraste: pacientes em diálise, pacientes com história de doença renal (transplante renal, rim único ou tumor renal), pacientes que receberam contraste nas últimas 24 horas, pacientes com antecedente de alergia grave ou anafilaxia ao gadolínio, pacientes com fator de risco para fibrose renal nefrogênica, pacientes com clearance de creatinina inferior a 30 mL/minuto/1,73 m 2 , diabéticos ou hipertensos com clearance de cretinina de 35 mL/minuto/1,73 m 2 e gestantes.

Usualmente relacionadas com casos de alergia leve/moderada ou grave ao contraste venoso (gadolínio).

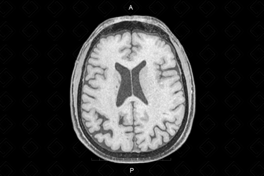
Sequências T2, T1, FLAIR (trata-se de um T2 com supressão de fluidos), SWI e mapa de fases (objetivo de ver sangramento e calcificação), difusão e ADC, pós-contraste T1 Fat Sat.

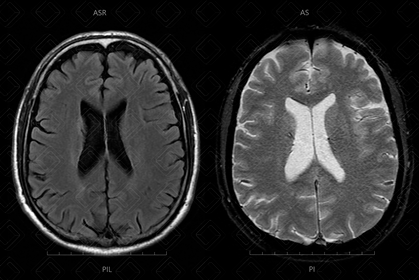
Texto alternativo para a imagem Figura 1. Créditos: Athena Hub/Medical Harbour

Descrição da figura 1: Na esquerda da imagem, observamos um sequência FLAIR (note que os ventrículos laterais estão pretos) e, à direita, sequência ponderada em T2.

Texto alternativo para a imagem Figura 2. Créditos: Athena Hub/Medical Harbour

Descrição da figura 2: Imagem em T1 pós-contraste. A sequência T1 é a mais anatômica de todas as sequências no crânio.

Algumas sequências avançadas podem ser adicionadas, dependendo da indicação do paciente, como: perfusão e permeabilidade, espectroscopia, RM funcional e tractografia. [cms-watermark]

Autoria principal: Elazir Mota (Radiologia, especialista em Radiologia Pediátrica).

    Equipe adjunta:
  • Igor Biscotto (Radiologia Intervencionista e Cirurgia Endovascular).

Ghadimi M, Sapra A. Magnetic Resonance Imaging Contraindications. [Updated 2022 May 8].

Feychting M. Health effects of static magnetic fields – a review of the epidemiological evidence. Prog Biophys Mol Biol. 2005; 87(2-3):241-6.

MRI Brain Findings in 126 Patients with COVID-19: Initial Observations from a Descriptive Literature Review. Gulko E, et al., AJNR Am J Neuroradiol, 2020.

Structural Magnetic Resonance Imaging All Over Again. Weinberger DR, et al. JAMA Psychiatry, 2021.

Sammet S, Sammet CL. Implementation of a comprehensive MR safety course for medical students. J Magn Reson Imaging. 2015; 42(6):1478-86.