' Tomografia Computadorizada de Tórax - Prescrição
Conteúdo copiado com sucesso!

Tomografia Computadorizada de Tórax

Voltar

Definição: Procedimento de formação de imagem pela emissão de raios X que permite a análise de doenças do tórax. Pode ou não ser realizado com a administração de contraste, formando imagens mais nítidas da parte vascular (angiotomografia de tórax).

Sinônimos: TC de tórax; tomografia computadorizada de tórax; TC.

Solicita-se a TC de tórax para avaliação de pacientes que têm sintomas respiratórios e/ou de caixa torácica, além de rastreio de nódulo pulmonar. Pode-se solicitar associado à administração de contraste. Para estudar as alterações vasculares, deve-se solicitar, além da tomografia de tórax, a angiotomografia de tórax.

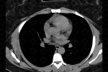
Texto alternativo para a imagem Figura 1. Créditos: Dra. Elazir Mota - Rio de Janeiro/RJ
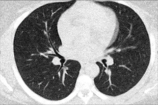
Texto alternativo para a imagem Figura 2. Créditos: Dra. Elazir Mota - Rio de Janeiro/RJ

Descrição das figuras: Tomografia computadorizada do tórax, cortes nos planos axiais, nas janelas de pulmão (onde se visualiza a doença do parênquima pulmonar) e na janela de partes moles (onde se observa o mediastino e suas estruturas, como presença de linfonodomegalias, massas mediastinais, coração e vasos da base).

  • Avaliação de pacientes com sintomas respiratórios como tosse, dor pleurítica, hemoptise/hemoptoicos e dor torácica;
  • Avaliação de emergências, como no contexto do trauma para avaliar presença de laceração, contusão pulmonar, fraturas de arcos costais, pneumotórax, hemotórax; complicações pós-operatórias;
  • Suspeita de tromboembolismo pulmonar;
  • Suspeita de dissecção de aorta;
  • Rastreamento de câncer de pulmão com TC de baixa dose (TCBD);
  • Adequada avaliação de nódulos ou massas pulmonares vistas na radiografia de tórax;
  • Diagnóstico e estadiamento de neoplasia pulmonar;
  • Estadiamento de outras neoplasias (aquelas que comumente metastatizam para parênquima pulmonar);
  • Caracterização de doenças pulmonares intersticiais; avaliação de doenças pulmonares congênitas e avaliação/rastreio de pneumoconioses.

Para a realização da imagem, o paciente deve permanecer em decúbito dorsal, com os braços elevados acima da cabeça.

É solicitada uma manobra de inspiração profunda seguida de apneia. Em casos específicos, pode-se realizar a imagem em expiração para comparação com a fase inspiratória.

No geral, o exame não requer preparo. Contudo, nos casos em que é necessário o uso de contraste, é fundamental a avaliação de alergia a iodo. Se houver histórico de alergia, é necessário o preparo antialérgico com corticoide e anti-histamínico conforme cada instituição. Para mais informações, acesse conteúdo específico sobre Protocolo de Dessensibilização.

Para a administração de contraste iodado, é mandatório avaliar a função renal do paciente por meio de um exame de creatinina sérica recente, com cálculo da taxa de filtração glomerular (TFG ou eGFR). Pacientes com insuficiência renal grave (geralmente TFG < 30 mL/minuto/1.73m²) têm um risco aumentado de desenvolver lesão renal aguda pós-contraste (PC-AKI) e, portanto, o uso de contraste é contraindicado ou deve ser feito após avaliação de risco-benefício e hidratação.

Atualmente, o exame é realizado de forma rápida, de fácil execução e com boa disponibilidade na maioria dos serviços.

Com a emissão de radiação, a imagem é feita pelos cortes que variam de espessura. As máquinas antigas faziam cortes com 5 mm de espessura. Enquanto as máquinas mais modernas de alta resolução fazem cortes de 0,625 a 1,25 mm, sendo possível analisar o lóbulo secundário pulmonar.

Atualmente, softwares de imagem conseguem editar e acentuar características específicas do exame, por exemplo, técnica MIP ( maximum intensity projection mode ), na qual se acentua as estruturas com maior densidade. É excelente para identificar nódulos pulmonares. A outra técnica utilizada é a MinIP ( minimum intensity projection mode ), na qual se acentua as áreas de menor densidade, sendo excelente para visualização de cistos pulmonares.

Tipos de Tomografia de Tórax

  • TC de tórax sem contraste: Ideal para avaliar o parênquima pulmonar (doenças intersticiais, nódulos não caracterizados, enfisema);
  • TC de tórax com contraste: Ideal para avaliar estruturas vasculares, mediastino, pleura e para definição de massas e linfonodos. Dentro desta, temos a angiotomografia (angioTC), com protocolos específicos para artérias pulmonares (suspeita de TEP) ou aorta (suspeita de dissecção);
  • TC de tórax de alta resolução (TCAR): Não é um tipo diferente de máquina, mas um protocolo de aquisição com cortes muito finos (≤ 1.5 mm) e reconstrução com algoritmo específico (de alta resolução espacial), fundamental para o estudo detalhado das doenças intersticiais pulmonares (fibrose, vidro fosco, etc.);
  • TC de dupla energia (ou TC espectral): Utilizam-se dois feixes de raios X com energias diferentes simultaneamente. Isso permite diferenciar materiais com base em sua composição química. As principais aplicações no tórax incluem:
    • Mapas de perfusão de iodo: mostram a distribuição do sangue no parênquima pulmonar, sendo extremamente útil no diagnóstico de tromboembolismo pulmonar (TEP), mostrando a área do pulmão que não está recebendo sangue;
    • Imagens virtuais sem contraste: permitem criar uma imagem sem contraste a partir de uma aquisição com contraste, economizando uma fase do exame e radiação;
    • Caracterização de nódulos: ajuda a avaliar o realce de um nódulo pulmonar, um indicador de possível malignidade.

Nos casos de ser necessária a administração do contraste venoso, a principal limitação são os pacientes com antecedente alérgico ao contraste iodado, pacientes asmáticos com crise recente ou paciente com histórico de reações alérgicas graves a qualquer medicamento ou alimento (isso pode ser discutido com calma).

Caso o exame seja imprescindível, convém realizar preparo antialérgico, que deve ser iniciado na véspera do exame, ou realizar o exame em ambiente hospitalar. Outra limitação é a exposição à radiação à qual o paciente será submetido. [cms-watermark]

Além disso, pacientes que não conseguem permanecer em decúbito dorsal, taquipneicos com dificuldade de realizar a manobra de apneia, podem não conseguir realizar a TC.

Pacientes claustrofóbicos: Nestes casos, é possível explicar ao paciente que, diferentemente da ressonância magnética, trata-se de um exame muito rápido e que, comumente, costuma ser bem tolerado até por este tipo de paciente.

Pacientes gestantes ou com gestação suspeita: Também não devem ser submetidos ao exame, pela excessiva dose de radiação ionizante à qual serão expostos. Em casos extremos, pode-se utilizar protetor abdominal de chumbo.

As principais são as reações alérgicas ao meio de contraste venoso. Além disso, pode ocorrer o extravasamento do meio de contraste no local da punção venosa. Embora geralmente leve, em casos raros pode causar lesões de tecidos moles ou síndrome compartimental.
[cms-watermark]

Lesão renal aguda pós-contraste (PC-AKI): Principal complicação tardia relacionada ao contraste em pacientes de risco. [cms-watermark]

Complicações tardias ao excesso de radiação ionizante (por isso, cabe ao médico assistente decidir com muita cautela se a TC é realmente necessária, evitando expor o paciente desnecessariamente à radiação ionizante). [cms-watermark]

Autoria principal: Elazir Mota (Radiologia, especialista em Radiologia Pediátrica).

Revisão: Bruna C. Provenzano (Clínica Médica, Terapia Intensiva e Pneumologia).

Mathew S, Thangavel G, Pujar P, et al. An umbrella review of systematic evidence on the Low Dose Computed Tomography (LDCT) for lung cancer screening. Future Oncol. 2025; 1-13.

Battaglini D, Schultz MJ, Puentes GAC, et al. Imaging and pulmonary function techniques in ARDS diagnosis and management: current insights and challenges. Crit Care. 2025; 29(1):282.

Iezzi R, Larici AR, Franchi P, et al. Tailoring protocols for chest CT applications: When and how? Diagn Interv Radiol. 2017; 23(6):420-427.

Colégio Brasileiro de Radiologia. CBR - Tórax: Série Diagnóstico por Imagem. Rio de Janeiro: Elsevier; 2017.

Wielpütz MO, Eberhardt R, Puderbach M, et al. Simultaneous assessment of airway instability and respiratory dynamics with low-dose 4D-CT in chronic obstructive pulmonary disease: Atechnical note. Respiration. 2014; 87(4):294-300.

Grainger RG, Allison DJ, Adam A, et al. Grainger & Allison's Diagnostic Radiology: A Textbook of Medical Imagin. Philadelphia: Churchill Livingstone/Elsevier; 2008.

Cody DD. AAPM/RSNA physics tutorial for residents: topics in CT. Image processing in CT. Radiographics. 2002; 22(5):1255-68.

Coakley FV, Panicek DM. Iodine allergy: an oyster without a pearl? AJR Am J Roentgenol. 1997; 169(4):951-952.

Katayama H, Yamaguchi K, Kozuka T, et al. Adverse reactions to ionic and nonionic contrast media. A report from the Japanese Committee on the Safety of Contrast Media. Radiology. 1990; 175(3):621-628.