' Tomografia Computadorizada do Ombro - Prescrição
Conteúdo copiado com sucesso!

Tomografia Computadorizada do Ombro

Voltar

Definição: A tomografia computadorizada do ombro vem ganhando espaço crescente na radiologia, especialmente para a avaliação de fraturas duvidosas na radiografia ou quando estamos diante de paciente com quadro clínico exuberante, para melhor avaliação do espaço articular. No contexto do trauma, por ser um exame rápido e permitir reconstruções tridimensionais (3D), também é muito utilizado.

Sinônimos: T omografia computadorizada do ombro, TC do ombro.

Tomografia computadorizada do ombro D ou E, acompanhada de adequada indicação clínica.

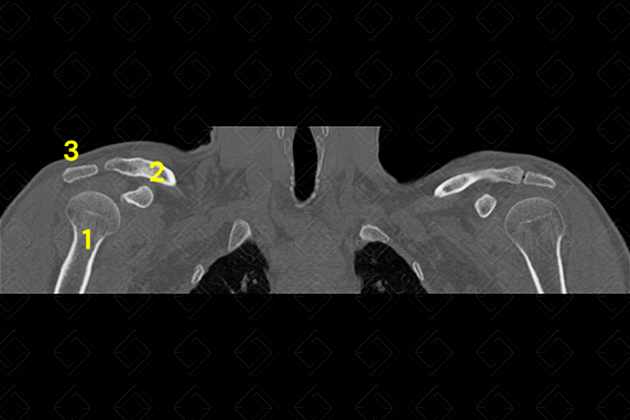
Texto alternativo para a imagem Figura 1. Tomografia computadorizada dos ombros - plano axial. Créditos: Athena Hub/Medical Harbour
Texto alternativo para a imagem Figura 2. Tomografia computadorizada dos ombros - plano coronal.
Créditos: Athena Hub/Medical Harbour

Legenda: 1 = úmero; 2 = clavícula; 3 = acrômio; e 4 = escápula.

Trauma, avaliação de fraturas umerais ou escapulares, planejamento pré-operatório das artroses de ombro, avaliação de complicações pós-operatórias, avaliação de artrite séptica ou inflamatória, avaliação de tumores ósseos ou de partes moles, avaliação da instabilidade glenoumeral.

Nenhum preparo deve ser realizado.

Paciente em posição supina na mesa, braço ipsilateralmente à lesão próximo ao corpo acompanhado de rotação externa, e braço contralateralmente elevado acima da cabeça. O estudo deve incluir a avaliação da articulação acromioclavicular até o bordo inferior da escápula.

Exame rápido e com resolução tridimensional da imagem (3D), sendo especialmente útil na avaliação de fraturas e/ou outras lesões, assim como de defeitos ósseos associados à instabilidade glenoumeral.

Exposição à radiação ionizante.

Não deve ser realizado em pacientes gestantes ou com suspeita de gestação.

Podem estar relacionadas com os casos nos quais é necessária a injeção do contraste venoso (a reação ao contraste venoso pode ser aguda, tardia ou muito tardia).

Autoria principal: Elazir Mota (Radiologia, especialista em Radiologia Pediátrica).

    Equipe adjunta:
  • Rafael Erthal de Paula (Ortopedia, Traumatologia e Cirurgia de Joelho).

Perez EA. Fractures of the shoulder, arm, and forearm. In: Azar FM, Beaty JH, Canale ST, eds. Campbell's Operative Orthopaedics. 13th ed. Philadelphia: Elsevier, 2017.

Thomsen HS, Reimer P. Intravascular contrast media for radiography, CT, MRI and ultrasound. In: Adam A, Dixon AK, Gillard JH, et al, eds. Grainger & Allison's Diagnostic Radiology: A Textbook of Medical Imaging. 6th ed. Philadelphia: Elsevier Churchill Livingstone, 2015.

Moor BK, Bouaicha S, Rothenfluh DA, et al. Is there an association between the individual anatomy of the scapula and the development of rotator cuff tears or osteoarthritis of the glenohumeral joint?: A radiological study of the critical shoulder angle. Bone Joint J. 2013; 95-B(7):935-941.

Greenspan A, Beltran J. Orthopedic Imaging: A Practical Approach. 7th ed. Philadelphia: Lippincott Williams & Wilkins, 2020.

Beaty JH, Azar FM. Campbell's operative orthopaedics. 14th ed. Philadelphia: Saunders, 2020.

Hebert S, Xavier R, Pardini Jr AG, et al. Ortopedia e traumatologia: princípios e prática. 5a ed. Porto Alegre: Artmed, 2017.

Tornetta P, Rockwood CA, Bucholz RW, et al. Rockwood & Green Fractures in Adults. 9th ed. Philadelphia: Lippincott Williams & Wilkins, 2019.