' Ultrassonografia Transfontanela - Prescrição
Conteúdo copiado com sucesso!

Ultrassonografia Transfontanela

Voltar

Definição: A ultrassonografia transfontanela é um exame de alta resolução que demonstrou ser uma ferramenta extremamente valiosa na identificação da anatomia intracraniana normal e patológica em pacientes recém-nascidos.

Sinônimos: USG transfontanela; Ultrassom transfontanela; ultrassonografia transfontanelar.

Ultrassonografia transfontanela. Acompanhada de adequada indicação clínica no pedido médico.

Atenção : Vale a pena ressaltar que este exame só pode ser solicitado naqueles pacientes que ainda apresentam a fontanela anterior aberta, com pelo menos duas polpas digitais. A fontanela anterior em geral inicia seu fechamento por volta do nono mês de vida até os 15 meses. Essencial, portanto, que o pediatra ou neuropediatra que estejam solicitando o exame avaliem antes se existem pelo menos duas polpas digitais palpáveis.

Tornou-se o exame de escolha para avaliação inicial e investigação de hidrocefalia , de hemorragias periventriculares (destacando-se a hemorragia de matriz germinativa em prematuros), intraventriculares e intraparenquimatosas, de lesões isquêmicas, malformações congênitas e de infecções cerebrais no neonato.

Nenhum preparo é necessário. Radiologistas pediátricos costumam solicitar um jejum para o bebê de cerca de 2 horas, para que ele mame na sala de exames, facilitando a execução e realização do exame de imagem.

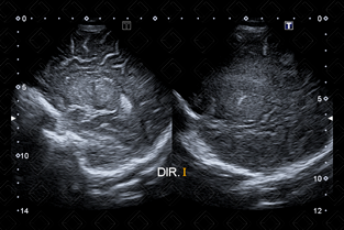
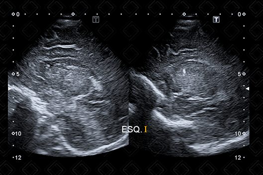
As imagens rotineiramente são obtidas nos planos coronal e sagital. As imagens coronais são obtidas colocando-se o transdutor transversamente pela fontanela anterior e angulando o feixe de ultrassom da frente para trás. As imagens sagitais são obtidas posicionando-se o transdutor em orientação longitudinal na fontanela anterior e angulando o feixe do meio para lateral (figuras 1 a 6).

Texto alternativo para a imagem Figura 1. Créditos: Dra. Elazir Mota - Rio de Janeiro/RJ
Texto alternativo para a imagem Figura 2. Créditos: Dra. Elazir Mota - Rio de Janeiro/RJ

Descrição das figuras 1 e 2: Ultrassonografia transfontanela cortes coronais, realizada varredura de anterior para posterior. CC – corpo caloso; Ch – plexo coroide; [cms-watermark] F – lobo frontal; N – núcleos da base; [cms-watermark] T – lobo temporal.

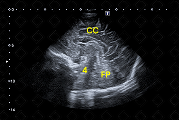
Texto alternativo para a imagem Figura 3. Créditos: Dra. Elazir Mota - Rio de Janeiro/RJ

Descrição da figura 3: Ultrassonografia transfontanela, plano sagital na linha média. CC – corpo caloso; FP – fossa posterior; [cms-watermark] 4 – ventrículo.

Texto alternativo para a imagem Figura 4. Créditos: Dra. Elazir Mota - Rio de Janeiro/RJ
Texto alternativo para a imagem Figura 5. Créditos: Dra. Elazir Mota - Rio de Janeiro/RJ

Descrição das figuras 4 e 5: Ultrassonografia transfontanela, planos parassagitais direito e esquerdo, varrendo até o nível da ínsula.

Texto alternativo para a imagem Figura 6. Créditos: Dra. Elazir Mota - Rio de Janeiro/RJ

Descrição da figura 6: Ultrassonografia transfontanela, varredura com transdutor linear de alta frequência.

Exame rápido, de baixo custo, boa acessibilidade, livre de radiação ionizante. Não exige sedação do paciente e boa parte dos aparelhos são portáteis (desse modo, tornou-se uma ferramenta excelente na avaliação de crianças extremamente graves e instáveis que não possam ser transportadas para a sala de radiologia para investigação por imagens).

A fontanela anterior deve ter pelo menos duas polpas digitais (ou seja, exame costuma ser realizado na maioria dos casos no máximo até os 13-15 meses de vida). Além disso, a ultrassonografia é um exame operador dependente.

Fontanela anterior fechada ou pequena.

Não há.

Autoria principal: Elazir Mota (Radiologia, especialista em Radiologia Pediátrica).

Benson JE, Bishop MR, Cohen HI. Intracranial neonatal neurosonography: an uptodate. Ultrasound Q. 2002; 18:89-114.

Gupta P, Sodhi KS, Saxena AK, et al. Neonatal cranial sonography: a concise review for clinicians. J Pedatr Neurosci. 2016; 11:7-13.

Ballabh P. Intraventricular hemorrhage in premature infants: mechanism of disease. Pediatr Res. 2010; 67(1).

Grant EG, White EM. Pediatric neurosonography. J Child Neurol. 1986; 1(4):319-37.

Hwang M, Riggs BJ, Katz J, et al. Advanced Pediatric Neurosonography Techniques: Contrast-Enhanced Ultrasonography, Elastography, and Beyond. J Neuroimaging. 2018; 28(2):150-157.