' Ultrassonografia de Coluna Lombossacra - Prescrição
Conteúdo copiado com sucesso!

Ultrassonografia de Coluna Lombossacra

Voltar

Definição: Trata-se de um método confiável de triagem de anomalias da coluna espinhal em lactentes com menos de 3-4 meses de vida. Aos 3-4 meses de idade, a janela acústica começa a se fechar como resultado da ossificação normal dos elementos posteriores da coluna.

Sinônimos: USG coluna lombossacra; US da coluna lombossacra; Ultrassom coluna lombossacra.

Ultrassonografia de coluna lombossacra : Indicação sempre é fundamental em qualquer solicitação de exame de imagem.

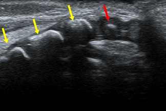
Texto alternativo para a imagem Figura 1. Créditos: Dra. Elazir Mota - Rio de Janeiro/RJ

Descrição da figura 1: Ultrassonografia da coluna lombossacra evidenciando as peças sacrais (já ossificadas - setas amarelas), e a primeira peça coccígea iniciando seu processo de ossificação (seta vermelha).

Texto alternativo para a imagem Figura 2. Créditos: Dra. Elazir Mota - Rio de Janeiro/RJ
Texto alternativo para a imagem Figura 3. Créditos: Dra. Elazir Mota - Rio de Janeiro/RJ

Descrição das figuras 2 e 3: Ultrassonografia da coluna lombar evidenciando cone medular, tópico (ao nível de L1-L2) (seta branca). [cms-watermark]

Texto alternativo para a imagem Figura 4. Créditos: Dra. Elazir Mota - Rio de Janeiro/RJ

Descrição da figura 4: Ultrassonografia de coluna lombossacra, do mesmo paciente, evidenciando o filum terminal – estrutura ecogênica que se estende o cone medular ao cóccix (A).

A principal indicação inclui uma lesão cutânea na região inferior das costas, a qual pode estar associada a defeito de fechamento do tubo neural. Essas lesões incluem: o dimple sacral ou fosseta (pequeno “buraquinho” na pele a nível da coluna sacral ou cóccix), hipertricose (acúmulo de pelos na região sacral), hemangiomas (manchas arroxeadas) na região sacral, apêndices cutâneos, fístulas e placas hiperpigmentadas.

Outras indicações são anomalias vertebrais detectadas na radiografia de coluna, como agenesia sacral ou defeitos de segmentação; achados clínicos de ânus imperfurado e extrofia cloacal; orientação para punção de coluna lombar; tumores, avaliação de lesões traumáticas da coluna e avaliação pós operatória de reancoramento de medula.

Nenhum preparo é necessário.

Uma vez que a medula espinhal é uma estrutura superficial, transdutores de alta frequência, de 7 a 15 MHz, fornecem as melhores imagens. O paciente deve ser colocado em posição prona (sempre com um acompanhante ao lado do paciente) e, deste modo, colocamos o transdutor na linha média, acima dos processos espinhosos ainda não ossificados e iniciamos a varredura.

Exame rápido, barato, de boa acessibilidade e baixo custo. Não necessita de sedação e é livre de radiação ionizante.

Deve ser realizado por radiologista pediátrico experiente, para obtenção de imagens e adequada interpretação daquilo que está sendo visto.

Não há.

Não há.

Algumas medidas devem ser analisadas durante o exame, como a altura do cone medula r (em geral, o cone medular deve estar ao nível de L2-L3. Nunca abaixo deste nível) e a espessura do filum terminal (sua espessura máximo encontra-se em torno de 0,18 a 0,2 cm).

Autoria principal: Elazir Mota (Radiologia, especialista em Radiologia Pediátrica).

Unsinn KM, Geley T, Freund MC, et al. US of the Spinal Cord in Newborns: Spectrum of Normal Findings, Variants, Congenital Anomalies, and Acquired Diseases. RadioGraphics. 2000; 20(4):923-38.

Grimme JD, Castillo M. Congenital anomalies of the spine .Neuroimaging Clin N Am. 2007; 17(1):1-16.

Henriques JGB, Pianetti Filho G, Costa PR. Uso da ultra-sonografia na triagem de disrafismos espinhais ocultos. Arq Neuropsiquiatr. 2004; 62(3-A):701-706.