Conteúdo copiado com sucesso!

Crupe em Pediatria

Voltar

Definição: Grupo de doenças respiratórias que cursam com rouquidão, tosse ladrante, estridor predominantemente inspiratório e graus variados de desconforto respiratório. O comprometimento anatômico é bastante variável e pode envolver a laringe (laringite), a laringe e a traqueia (laringotraqueíte) ou a laringe, a traqueia e os bronquíolos (laringotraqueobronquite). A etiologia também é variável (vírus e bactérias), sendo os vírus os principais agentes causadores da doença.

Os sintomas são decorrentes da inflamação da laringe e da região subglótica. A causa é desconhecida, mas fatores alérgicos e psicológicos parecem estar envolvidos. Infecções virais podem desencadear o quadro, e os sintomas são predominantemente noturnos.

Os ví­rus infectam a mucosa nasal e farí­ngea, disseminando-se posteriormente até laringe e traqueia. A via aérea terá um grau variado de obstrução, de acordo com a congestão e o edema dessa região durante o quadro infeccioso. O edema da região subglótica da traqueia leva à restrição do fluxo de ar, gerando estridor inspiratório.

A etiologia viral é a mais comum. Dentre os principais vírus, temos parainfluenza (tipos 1, 2 e 3), influenza A e B e vírus sincicial respiratório. Outras causas virais são: SARS-CoV2, principalmente variante Ômicron, rinovírus, enterovírus e herpes-vírus simples. Podem ocorrer também por infecções bacterianas, sendo mais frequente a espécie Mycoplasma pneumoniae, acometendo crianças maiores que 5 anos de idade.

Difteria é uma causa extremamente rara. Embora, haja maior número de casos no outono e inverno, o crupe viral ocorre durante o ano todo.

Texto alternativo para a imagem Figura 1. Caixa de voz
Texto alternativo para a imagem Figura 2. Criança com crupe

Crupe Viral e Espasmódico

Sinais e sintomas iniciais: Os sintomas iniciais assemelham-se aos de um resfriado comum, com tosse leve, rinorreia clara, faringite e febre baixa. Dentro de 12-48 horas, os sintomas se intensificam e tornam-se característicos: tosse ladrante ou metálica, estridor, febre (geralmente mais elevada) e, nos casos mais graves, sinais de desconforto respiratório.

O quadro pode ser autolimitado em 3-7 dias, porém, nos casos mais graves, há evolução para taquicardia, taquipneia, retrações esternais, tiragem subcostal e intercostal, cianose, agitação psicomotora e outros.

Nos casos graves, pode haver insuficiência respiratória com fadiga da musculatura respiratória, hipercapnia e hipóxia, e pode ter duração de até 14 dias.

Laringite infecciosa aguda: É a inflamação da porção subglótica da laringe, geralmente ocasionada por uma infecção viral. Normalmente, acomete lactentes e pré-escolares (6 meses-3 anos de idade), com pico de incidência por volta de 18 meses de idade, predominantemente no gênero masculino.

Laringotraqueobronquite: É a infecção viral do epitélio respiratório da laringe, traqueia e árvore broncoalveolar. É a forma mais comum e tí­pica da crupe, correspondendo a 90% de todos os casos. Nesses casos, há presença de sibilos e de tempo expiratório prolongado.

Laringite estridulosa ou crupe espasmódico: Ocorre com maior frequência em crianças de 3 meses a 3 anos de idade. A clínica é semelhante à da laringotraqueobronquite, mas não há história de pródromos virais e febre. Está relacionada a processo alérgico e não inflamatório.

No crupe espasmódico, a criança geralmente acorda durante a noite com tosse ladrante ("de cachorro"), metálica, inspiração ruidosa e angústia respiratória, parecendo ansiosa e assustada, geralmente afebril. A gravidade dos sintomas diminui em algumas horas, e a criança acorda bem no dia seguinte (mantendo apenas uma leve rouquidão e tosse).

Observação! O risco de obstrução de vias aéreas é característico de cada indivíduo e, normalmente, tem relação com história de atopia e hiper-reatividade de vias aéreas. Dessa forma, a expressão de gravidade da doença, bem como as chances de recorrência, é muito variável. As recorrências são mais comuns entre 3-6 anos de idade, diminuindo com o crescimento das vias aéreas. História familiar positiva é fator de risco para crupe esporádico ou recorrente.

Exame Físico

  • Rouquidão, coriza, hiperemia de orofaringe (variável) e estridor (em graus variados). Em casos moderados a graves, podem ser identificados em graus variados: Taquidispneia, uso de musculatura acessória, agitação/alteração do nível de consciência, cianose, taquicardia e dessaturação à oximetria de pulso;
  • Na presença de sinais de gravidade (destacados no item anterior), avaliar imediatamente a necessidade de via aérea artificial;
  • Pode ser difí­cil diferenciar a laringotraqueobronquite grave da epiglotite. No entanto, a última, em geral, tem iní­cio mais agudo e curso mais rápido.

Crupe ou Traqueíte Bacteriana

Sinônimos: Crupe membranoso, crupe pseudomembranoso, laringotraqueobronquite membranosa.

    Características:
  • Obstrução grave da via aérea superior – síndrome crupe;
  • É raro (1:40-50 quando comparada a crupe viral), porém emergiu como a principal causa de obstrução de vias aéreas superiores potencialmente fatal após a vacinação contra hemófilo tipo B;
  • Mais comum no sexo masculino e até os 6 anos de idade.

Principal agente etiológico: S. aureus . Outros: estreptococos (pneumococo, grupo A e não grupo A beta-hemolítico, alfa-hemolítico), Moraxella catarrhalis e Haemophilus sp .

Atenção! Todos os pacientes com suspeita de traqueíte bacteriana devem ser internados, pois geralmente têm sinais de toxemia, desidratação ou incapacidade de ingerir líquidos, estridor importante ou sinais de esforço respiratório em repouso e ausência de resposta à Epinefrina ou piora clínica após 2 horas de sua administração.

Apresentação clínica: Sinais de crupe viral e de epiglotite associados à febre alta (> 38,5°C) e toxemia. Sintomas mais prolongados do que na epiglotite. O quadro pode apresentar evolução rápida, progredindo para obstrução total de via aérea em pouco tempo de doença.

Dica para diferenciar traqueíte bacteriana da viral: Quando não há resposta ao tratamento inicial com corticoides e Adrenalina inalatória.

Pode-se identificar, pela laringoscopia, exsudato purulento malcheiroso não aderido, bloqueando a luz da traqueia. A cultura do material purulento revela a bactéria causadora do quadro. As hemoculturas são, em geral, negativas.

Complicações da laringotraqueíte ou laringotraqueobronquite infecciosas: Ocorrem em cerca de 15% dos pacientes: extensão do processo infeccioso para ouvido médio, bronquí­olos terminais ou parênquima pulmonar. Se houver associação de S. aureus , é possí­vel haver sí­ndrome do choque tóxico.

O diagnóstico é clí­nico, havendo pouca necessidade de exames complementares. Radiografia e hemograma não são rotineiramente indicados, mas um leucograma com contagem elevada de neutrófilos jovens poderá sugerir infecção bacteriana.

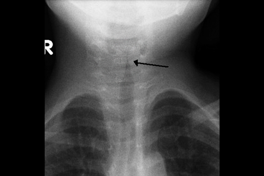
Radiografia cervical: Pode demonstrar típico estreitamento subglótico do crupe em incidência posteroanterior (sinal da ponta de lápis ou torre de igreja). Desvantagens: Esse sinal pode estar presente em pacientes saudáveis e, se presente na vigência do quadro agudo, não se correlaciona com gravidade da doença. A radiografia é útil quando há suspeita de aspiração de corpo estranho, ou seja, para diagnóstico diferencial.

Texto alternativo para a imagem Figura 3. Sinal da torre de igreja. Créditos: Frank Gaillard/Wikimedia commons
    Detecção do agente:
  • Testes especí­ficos para os ví­rus mais prevalentes não são essenciais, mas podem ser utilizados em pacientes hospitalizados como medida de isolamento ou com objetivo de monitoração epidemiológica;
  • Testes rápidos de detecção de antígenos virais podem ser realizados em secreção de nasofaringe;
  • Exames com PCR multiplex podem identificar vários agentes ao mesmo tempo na mesma amostra.
  • Epiglotite;
  • Traqueí­te bacteriana;
  • Sarampo;
  • Corpo estranho;
  • Abscesso retrofarí­ngeo ou periamigdaliano;
  • Angioedema;
  • Inalação e queimadura;
  • Laringoespasmo;
  • Paralisia de cordas vocais;
  • Crupe diftérico.

Avaliação da Gravidade

Escore de Gravidade do Crupe (SBP)
Sinal 0 1
Estridor Ausente Com agitação
Retração Ausente Leve
Entrada de ar Normal Normal
Cor Normal Normal
Nível de consciência Normal Agitação sob estímulo
Escore de Gravidade do Crupe (SBP)
Sinal 2 3
Estridor Leve em repouso Grave em repouso
Retração Moderada Grave
Entrada de ar Diminuída Muito diminuída
Cor Cianótica com agitação Cianótica em repouso
Nível de consciência Agitação Letárgico
    Escore total:
  • Leve: < 7;
  • Moderada: 7-8;
  • Grave: > 8.

Crupe Viral

As infecções de vias aéreas superiores são as doenças mais frequentes da infância, e são o principal motivo de ida ao pronto-socorro. É muito importante o médico saber diagnosticar e diferenciar os casos que necessitam apenas de tratamento sintomático daqueles casos em que há infecção bacteriana, necessitando antibioticoterapia. [cms-watermark]

A principal medida na urgência do tratamento é garantir que as vias aéreas estejam pérvias. Manter a criança calma, evitar manipulação e exames desnecessários.

Nas manifestações clí­nicas leves, a Sociedade Brasileira de Pediatria (SBP) recomenda usar umidificação do ar inspirado, antitérmicos e hidratação oral. No entanto, muitos autores desaconselham o uso da nebulização, exceto nos casos com necessidade de oxigênio suplementar.

O uso de Dexametasona oral ou parenteral (0,15-0,6 mg/kg, máximo de 16 mg), dose única, melhora o sono do paciente, encurta a doença e reduz a ansiedade dos pais. A nebulização com Budesonida inalatória (2 mg) parece apresentar efeito clínico semelhante à Dexametasona IM. Alternativas à Dexametasona (para casa): Prednisolona (2 mg/kg/dia – máximo de 60 mg/dia – VO, por 3 dias) ou Budesonida inalatória (2 mg/dose de 12/12 horas, por 5 dias).

O tipo de corticoide faz diferença no tratamento da crupe? Veja o vídeo a seguir:

Nos casos de crupe moderado ou grave, usar nebulização com Adrenalina (1:1.000): dose inalatória de 0,5 mL/kg de Adrenalina (máximo: 5 mL via inalatória). O benefí­cio é observado em 30-60 minutos, e o efeito desaparece em 2 horas; a criança deve ficar em observação no hospital por 3-4 horas. Pacientes que necessitam de mais que 1-2 doses de Adrenalina para melhora dos sintomas devem ser hospitalizados (principalmente se houver persistência ou evolução dos sinais de esforço respiratório).

A nebulização com Adrenalina está indicada para os pacientes que apresentarem estridor de moderado a acentuado em repouso, quando houver necessidade de intubação, desconforto respiratório ou hipóxia. Usar com cuidado nos pacientes taquicárdicos ou cardiopatas.

Antitussí­genos e descongestionantes não têm eficácia comprovada e não são recomendados.

Crupe ou Traqueíte Bacteriana

Tratamento: UTI + intubação orotraqueal (de preferência em centro cirúrgico com endoscopia e com tubo menor que o habitual para o tamanho da criança) + antibioticoterapia endovenosa.

A intubação geralmente é necessária por 3-7 dias. Os cuidados com as cânulas devem ser meticulosos, dada a chance de obstrução pelas membranas.

Antibioticoterapia: Cefalosporina de 2ª geração (Cefuroxima) ou de 3ª geração (Ceftriaxona) como drogas únicas.

Não há resposta terapêutica ao uso de corticoides ou de Adrenalina.

    O que não posso deixar passar durante uma consulta de teleatendimento?
  • Alguns pacientes com crupe leve podem ser manejados em casa;
  • Orientar uso de antitérmicos, caso haja febre, e ingesta líquida adequada;
  • Alguns relatos sugerem uso de inalação de ar umidificado na forma de névoa, seja via umidificador de ar, seja através da inalação de névoa produzida por chuveiro bem quente;
  • Sempre reavaliar a criança após 24 horas do primeiro atendimento por telemedicina.
    Como identificar sinais de piora do quadro durante evolução da doença?
  • A família deve ser orientada com relação aos sinais de alarme;
  • Durante o teleatendimento, o médico deverá avaliar estado geral da criança, nível de hidratação e sinais de esforço respiratório.
    Quando procurar diretamente o serviço de saúde mais próximo?
  • Sempre que houver presença de sinais de alarme, o paciente deve ser encaminhado para atendimento de urgência presencial;
  • Sinais de alarme: Estridor em repouso, esforço respiratório, palidez ou cianose, tosse intensa, salivação excessiva ou dificuldade de deglutição, cansaço, febre (> 38,5°C), sintomas prolongados (> 7 dias) e sinais de retração supraesternal;
  • Pacientes que apresentem agitação profunda, palidez ou cianose, dificuldade para respirar ou letargia devem ser transportados para hospital, preferencialmente por ambulância com equipe capacitada para manejo de via aérea avançada, dado o risco de obstrução de via aérea.

Autoria principal: Ana Carolina Pomodoro (Pediatria pela UFF e SBP).

Revisão: Gabriela Guimarães Moreira Balbi (Pediatria pela UFPR e Reumatologia Infantil pela UNIFESP).

Documento Científico da SBP: Crupe viral e bacteriano. Guia prático de conduta - Departamento de Emergências. Rio de Janeiro: SBP; 2017.

Ernest S, Khandhar PB. Laryngotracheobronchitis. [Internet]. StatPearls. Treasure Island, FL: StatPublishing. (Acesso em 26 abr. 2025).

Kliegman R, Stanton BF, Schor NF, et al. Nelson - Tratado de Pediatria. 19 ed. Rio de Janeiro: Elsevier; 2014.

La Torre FPF, Passarelli MLB, Cesar RG, et al. Emergências em pediatria: protocolos da Santa Casa. São Paulo: Manole; 2011.

Mannarino RV. Obstrução respiratória alta em pediatria. Revista de Pediatria SOPERJ. 2012; 13(2):54-60.

Sociedade Brasileira de Pediatria - Programa Nacional de Educação Continuada. Rio de Janeiro: SBP; 2015.

Gaillard F. AP x-ray of the neck in a child with croup demonstrating the steeple sign; narrowing of the the trachea. [Internet]. Wikimedia commons 2010. (Acesso em 26 abr. 2024)..

Sociedade Brasileira de Pediatria. Tratado de Pediatria, 5 ed. Baruerei: Manole; 2021.

Kliegman R, St Geme JW. Nelson Textbook of Pediatrics. 21st ed. Philadelphia: Elsevier; 2020.

Hester G, Nickel AJ, Watson D, et al. Use of a Clinical Guideline and Orderset to Reduce Hospital Admissions for Croup. Pediatrics. 2022; 150(3):e2021053507.

Aregbesola A, Tam CM, Kothari A, et al. Glucocorticoids for croup in children. Cochrane Database Syst Rev. 2023; 1(1):CD001955.